Dr. Tetsch & Kollegen
Spezialisten für Implantologie und Zahnmedizin in Münster

Ratgeber "Zahnärztliche Implantate"

Inhaltsverzeichnis

1 Einleitung

Die Zähne sind ein wichtiger Bestandteil des so genannten Kauorgans. Zum Kauorgan gehören außer den Zähnen noch die Kieferknochen, Kiefergelenke, Zunge, Wangen, Lippen, Gaumen, Kaumuskulatur, Schleimhäute, Speicheldrüsen, Blutgefäße und viele Nerven.

Das Kauorgan hat aber keineswegs nur für das Essen und Trinken, also für die Nahrungsaufnahme, Bedeutung. Es prägt den Menschen insgesamt, beeinflusst das Aussehen, das Sprechen und nicht selten das Verhalten den Mitmenschen gegenüber. Bereits der Verlust eines einzelnen Zahnes kann das Erscheinungsbild und das Aussehen des Menschen, erheblich beeinträchtigen. Der Verlust von allen Zähnen führt ohne Zahnersatz zu einem Einfallen des Gesichtes und somit häufig zu einem greisenhaften Aussehen (Abb. 1.1, 1.2). Zahnverlust führt zu Störungen des Kausystems, später unter Umständen sogar zu ernsthaften Erkrankungen. Auch psychische Belastungen und Erkrankungen sind durch einen Zahnverlust möglich, beispielsweise dann, wenn ein Schneidezahn im sichtbaren Bereich verloren geht. Der Betreffende wird sicher nicht mehr ungezwungen lachen können und versuchen, den Zahnverlust durch entsprechende Änderung seines Verhaltens zu verbergen. Man muss den sensiblen Bereich Mundhöhle der Intimsphäre des Menschen zurechnen. In vielen Fällen wissen nicht einmal Ehepartner voneinander, dass ein herausnehmbarer Zahnersatz getragen wird.

Abb. 1.1: Eingefallenes Gesicht nach Verlust aller Zähne und greisenhaftes Aussehen.
Abb. 1.2: Verjüngung nach Eingliederung eines Zahnersatzes im Ober- und Unterkiefer.

Wenn alle Zähne eines Kiefers entfernt werden müssen und eine ungünstige Kieferform das Herstellen einer gut sitzenden Prothese unmöglich macht, wird nicht nur das Erscheinungsbild des Menschen erheblich verändert, auch das Sprechen und die Nahrungsaufnahme können so schwierig werden, dass die betroffenen Menschen sich zurückziehen, ihre Mahlzeiten nur allein zu sich nehmen und den Kontakt zu den Mitmenschen auf das Notwendigste beschränken. Diese Nachteile lassen sich oft durch künstliche Zahnwurzeln (Implantate) vermeiden. Mit Hilfe von Implantaten konnten bereits sehr viele dieser zahnlosen Menschen aus der selbstgewählten Isolation herausgeführt werden. Sie sind meist die dankbarsten Patienten, die bei späteren Besuchen ihrem Zahnarzt begeistert über ihre neue Situation in der Familie und im Freundeskreis berichten und über das gute Gefühl bei Res­taurantbesuchen und eine gesteigerte „Lebensqualität“. In einzelnen Fällen führte die neue Sicherheit sogar zu einem Aufstieg im Beruf, einem positiven Berufswechsel oder zu Tätigkeiten in der Öffentlichkeit, die vorher undenkbar gewesen wären.

Besonders unangenehm ist Zahnverlust und unbefriedigender Zahnersatz bei Menschen, die in einem „Sprech- oder Lehrberuf“ tätig sind, wie z.B. Redner, Politiker, Mitarbeiter bei Rundfunk und Fernsehen, Lehrer, Juristen usw. Auch Blasmusiker sind in besonderem Maße auf einen funktionstüchtigen Zahnersatz angewiesen.

Viele Probleme können mit Hilfe traditioneller zahnärztlicher Prothesen befriedigend gelöst werden. Über Kronen, Brücken und Prothesen sind auch die meisten Menschen relativ gut informiert. Dieser „Zahnersatz“ ist aber immer nur ein Ersatz und nicht selten mit Nachteilen für die noch vorhandenen Zähne und das Wohlbefinden des Menschen verbunden. Daher prüfen Zahnärzte, die gut informiert und ausgebildet sind, immer häufiger die Möglichkeit einer Implantation, also der Einpflanzung künstlicher Zahnwurzeln. Auch die Patienten sind in den letzten Jahren zunehmend kritischer geworden und an dieser neuen Behandlungsmöglichkeit sehr interessiert.

Im nächsten Abschnitt soll zunächst erläutert werden, was Implantate eigentlich sind.

2 Implantate (künstliche Zahnwurzeln)

In einem zahnlosen Kieferabschnitt können Implantate (künstliche Zahnwurzeln) direkt im oder am Kieferknochen oder in der Schleimhaut verankert werden. Die Erfahrungen der letzten Jahre haben gezeigt, dass die besten Ergebnisse dann erzielt werden, wenn die Implantate direkt in den Kieferknochen eingepflanzt werden. Man bezeichnet solche Implantate als enossale Implantate. Sie werden von Patienten gerne mit „Dübeln“ verglichen, und sie gleichen diesen in gewissem Sinne tatsächlich (Abb. 2.1).

Abb. 2.1: Auswahl von zylinder- und schraubenförmigen Titanimplantaten.

Implantate können einteilig oder mehrteilig sein. Gängiger sind mehrteilige, zusammengesetzte Implantate. Sie bestehen aus drei Teilen: dem Körper, der im Knochen verankert wird, dem Kopfteil, auf dem die künstliche Zahnkrone befestigt wird, und dem Halsteil, der genau zwischen diesen beiden Teilen liegt, im Mund also im Bereich der Schleimhaut. Nach einer Einheilungszeit des Implantatkörpers im Kieferknochen wird die Zahnkrone für jeden Menschen und für jede Kieferregion in spezieller Form und Farbe angefertigt und z.B. in einer Steck- Schraubverbindung des Implantates fixiert (Abb. 2.2).

Abb. 2.2: Innengeometrie eines eingesetzten Implantates.

Im Gegensatz zu den „Dübeln“, die ein Handwerker verwendet, müssen Implantate noch eine weitere Bedingung erfüllen: sie müssen im lebenden Kieferknochen einwachsen und den vielfältigen Belastungen standhalten, die während des Kauens auftreten.

Die besten Ergebnisse werden erzielt, wenn die Implantate mit dem Knochen fest verwachsen. In Schweden wurde vor etwa 40 Jahren bei Untersuchungen am Knochen festgestellt, dass dieses feste Einwachsen stattfindet, wenn der Implantatkörper aus Titan besteht. Diese Art der Einheilung wird als Osseointegration bezeichnet. Sie lässt sich inzwischen auch bei anderen Materialien, wie z.B. Keramiken, beobachten. Dennoch wird die größte Zahl der enossalen Implantate aus Titan hergestellt, das manchmal auch mit ande­ren Materialien kombiniert wird. Die bisherigen Erfahrungen zeigen, dass Titan vom Körper angenommen wird und nachteilige Einflüsse, wie z.B. Allergien, nicht auftreten. Dabei ist Titan ein relativ unedles und häufig vorkommendes Metall, das allerdings schwer zu bearbeiten ist. Daraus erklären sich die relativ hohen Materialkosten. Die besondere Gewebeverträglichkeit, die so genannte Biokompatibilität, ist darauf zurückzuführen, dass sich auf der Oberfläche in Verbindung mit Sauerstoff sehr stabile Schichten (Oxide) bilden. Sie verhindern, dass im menschlichen Körper in größerem Umfang Teilchen abgegeben werden, die das angrenzende Gewebe schädigen können (Metallose) und die zur Auflösung des Metalls (Korrosion) führen würden.

Ähnlich verhält es sich auch mit bestimmten Keramiken, wie z.B. Aluminiumoxid und Zirkoniumoxid, die allerdings noch nicht so bruchfest sind. In einigen Fällen sind solche Implantate unter der Kaubelastung oder auch bei geringfügigen Gewalteinwirkungen gebrochen.

Als besonders gewebefreundlich haben sich bestimmte Keramiken erwiesen, die in ihrer Zusammensetzung dem Knochen sehr ähnlich sind, die so genannten Hydroxylapatit-Keramiken. Sie bestehen - wie Knochen - aus Kalzium und Phosphat in einer bestimmten Zusammensetzung. Sie werden synthetisch hergestellt oder aus Algen oder Korallen gewonnen. Der Nachteil ist allerdings die geringe Stabilität (Biostabilität), sodass sie lediglich als Knochenersatzmaterialien (siehe Abschnitt 7) Verwendung finden. In jüngerer Vergangenheit wird Zirkoniumoxid von einigen Firmen als Implantatmaterial verwendet. Um in Konkurrenz zu dem bewährten Werkstoff Titan zu gehen, fehlen aber zuverlässige Langzeitergebnisse. Problem ist auch hier die Bruchfestigkeit bei hoher kinetischer Energie, die gerade bei Kaufunktionen häufig auftritt (Kirschkerneffekt).

Es wurden die unterschiedlichsten Implantatformen entwickelt. Durchgesetzt haben sich weitgehend zylinder- oder schraubenförmige Implantate (Abb. 2.1). Sie sind relativ klein und grazil gestaltet, da das Platzangebot im Kieferknochen meistens sehr begrenzt ist. Die spezielle Form der Zylinder- und Schraubenimplantate wurde in umfangreichen Untersuchungen ermittelt. Sie ist den besonderen Bedürfnissen (Kieferform und Belastung) angepasst.

Die meisten Implantate heilen zunächst über einige Monate unbelastet ein und werden erst dann mit einer künstlichen Zahnkrone versorgt. Die Verbindung dieser Krone mit dem Implantat erfolgt in der Regel über eine Steck-Schraubverbindung, das sich im Inneren des Implantates befindet (Abb. 2.2). Die Aufbauten werden in diesem Gewinde verschraubt oder zementiert.

In einigen Fällen werden die Implantate am gleichen Tag wie die Entfernung der Zähne eingesetzt. Man spricht dann von einer Sofortimplantation (Abb. 2.3, 2.4). Wenn die Eingliederung des Zahnersatzes als Stegprothese oder als provisorische Krone innerhalb der ersten 24 Stunden direkt auf den frisch gesetzten Implantaten befestigt wird, dann wird auch von einer Sofortbelastung gesprochen. Für eine Sofortimplantation und Sofortbelastung müssen wichtige Kriterien erfüllt werden. Hierzu zählen ein ausreichendes Knochenangebot in Höhe und Breite, damit ein möglichst groß dimensioniertes Implantat gesetzt werden kann, entzündungsfreie Verhältnisse und eine gute Mitarbeit der Patienten. Wichtig ist auch, dass die Patienten ihre „neuen Zähne“ zunächst nur sehr vorsichtig benutzen, denn bei der Stabilität der neugesetzten Implantate handelt es sich zunächst um eine mechanische Stabilität, die in eine biologische Stabilität umgewandelt wird. Vergleichbar ist ein gebrochener Arm, mit dem man ja auch nicht nach einer Eingipsung sofort Tennis spielen gehen sollte. Aber nach der Knochenbruchheilung wird das Tennis spielen genauso gut funktionieren wie vor der Verletzung. In ähnlicher Weise funktioniert das Einwachsen der Implantate.

Abb. 2.3: Wurzelrest im Kiefer.
Abb. 2.4: Sofortimplantation nach Entfernung des reizlosen Wurzelrestes mit Abdeckschraube verschlossen.

Die Oberfläche ist bei den verschiedenen Systemen sehr unterschiedlich gestaltet. In den Anfängen waren glatte und polierte Oberflächen vorhanden. Heute ist man der Auffassung, dass neben einer Makroretention des Implantatdesigns (.z. B. unterschiedliche konische und zylindrische Schraubenformen) die Mikroretention eine sehr wichtige Rolle einnimmt. Hierfür werden die Oberflächen entweder additiv (auftragend) oder ablativ (abtragend) behandelt. Ziel ist es eine Mikrorauigkeit der Implantatoberfläche zu erhalten, die zu einer deutlichen Vergrößerung der Implantatoberfläche führt und entsprechend zu einer Vergrößerung der Kontaktfläche zum Knochen. Dies wiederum hat eine höhere Stabilität im Knochen und eine beschleunigte Einheilung zur Folge. Einige Implantatfirmen setzen aktive Oberflächen ein, von denen eine schnellere Einheilung und ein größerer Verbund der Implantate mit dem Kieferknochen ausgehen soll.

Die Entwicklung der letzten Jahre ist durch einen Trend zu möglichst kleinen Implantaten gekennzeichnet. Dies hat einen großen Vorteil: Wenn es tatsächlich einmal zum Verlust des Implantates kommt, dann entstehen keine umfangreichen Schäden am Knochen, und erneute Einpflanzungen sind sogar zeitnah zum Implantatverlust möglich. Es wird bei einem Misserfolg also kein Nachteil für den Patienten entstehen.

Da die Implantate durch die Mundschleimhaut treten müssen, damit eine künstliche Zahnkrone oder eine Prothese darauf befestigt werden kann, entstehen Probleme, wie sie bei anderen Implantaten im menschlichen Körper, etwa beim künstlichen Hüftgelenk, nicht bestehen. Die bes­ten Ergebnisse finden sich, wenn das Implantat im Bereich dieser Durchtrittsstelle, also am Halsteil, besonders glatt und hochglanzpoliert ist. Dann kann sich die Schleimhaut sehr dicht anlagern und dadurch verhindern, dass Bakterien aus der Mundhöhle in den Kieferknochen einwandern und zu Entzündungen führen. Die glatten Flächen lassen sich mit entsprechenden Hilfsmitteln sehr gut reinigen und erleichtern dem Patienten die für den Langzeiterfolg wichtige Mundhygiene.

Zusammenfassung: Implantate

Implantatteile:

Implantate, die im Knochen verankert werden, bestehen aus einem Körper (im Knochen), einem Halsteil (Schleimhautdurchtritt) und einem Kopfteil zur Aufnahme der künstlichen Zahnkrone.

Implantateinheilung:

Die beste Form der Einheilung ist das feste Einwachsen der Implantatkörper im Knochen.

Implantatformen:

Wurzel-, zylinder- und schraubenförmige Implantate werden am häufigsten in den Kiefer eingepflanzt.

Implantatoberfläche:

Die Implantatoberfläche sollte eine Makro- (z. B. schrauben- oder wurzelförmige Form) und Mikroretention (raue Oberfläche) aufweisen.

Sofortimplantate und Sofortbelastung:

Unter Sofortimplantaten versteht man das Setzen des Implantates unmittelbar nach dem Entfernen eines Zahnes. Die Sofortbelastung bedeutet, dass das Implantat innerhalb der ersten 24 Stunden direkt provisorisch oder definitiv mit einem Zahnersatz versorgt und belastet wird. Dieses sollte aber nur in Ausnahmen und strengen Indikationen erfolgen.

3 Einsatzmöglichkeiten zahnärztlicher Implantate

3.1 Zahnloser Kiefer

Auf die Möglichkeit, zahnlose Patienten mit Implantaten zuversorgen, wurde bereits in der Einleitung hingewiesen. Zunächst lässt sich nach einem vollständigen Zahnverlust in der Regel eine Prothese anfertigen, die einen guten Halt hat. Trotzdem empfehlen wir auch bei gutem Prothesensitz zu implantieren, da bei der Fehlbelastung durch den Prothesendruck derKieferknochen zurückgeht. Die Implantate sorgen für sehr guten Prothesensitz und schützen den Kieferknochen vor Knochenabbau. Häufig kommen die Patientenaber erst, wenn der Knochen weit abgebaut ist und der Prothesensitz sehr schlecht ist. In diesen Fällen wird das Implantieren deutlich schwieriger, da eine Mindesthöhe an Knochen als Implantatlager vorhanden sein muss (Abb. 3.1 bis 3.4).

Abb. 3.1: Gut ausgeprägter idealer Kiefer mit nur geringem Knochenverlust in der Höhe.
Abb. 3.2: Gut ausgeprägter Kieferknochen für das Einsetzen von Implantaten.
Abb. 3.3: Sehr gering dimensionierter, grenzwertiger Kieferknochen.
Abb. 3.4: Optimale Ausnutzung des geringen Knochenangebotes.

Im Oberkiefer kann in den meisten Fällen ein guter Prothesensitzdurch einen Saugeffekt erzielt werden. Je weiter der Kieferknochen aber im Laufe der Jahre abgebaut wird, desto schwieriger wird es, einen ausreichendenHalt zu erzielen. Im Unterkiefer hat eine Prothese nach Knochenverlust auch bei sorgfältigstem zahnärztlichen Arbeiten und dem Einsatz aufwendiger Abform- und Registrierverfahren nur wenig Halt. Implantate sind für viele Patienten die letzte Hoffnung.

Beispiele

Am Beispiel einiger Krankengeschichten aus der zahn­ärztlichen Praxis sollen die besonderen Schwierigkeiten zahnloser Patienten verdeutlicht werden.

Eine 58-jährige Arztwitwe führt ihren frühzeitigen Zahnverlust auf die schlechte Ernährung und die schlechte zahnärztliche Versorgung in der Nachkriegszeit zurück. Sie ist völlig verzweifelt und bringt in einer Plastiktüte 18 Prothesen mit, die im Laufe der letzten Jahre von verschiedenen Zahnärzten angefertigt und immer wieder geändert wurden. An den Prothesen im Mund der Patientin sind keine Mängel festzustellen. Die Unterkieferprothese hält allerdings nicht und hebt sich bereits bei der Mundöffnung und bei jeder Bewegung der Lippe und Zunge von der Unterlage. Auch die Verwendung von Haftmitteln bringt keine Besserung.

Im Gespräch wird deutlich, dass die Patientin die Prothese nur dann trägt, wenn sie in Gesellschaft ist. Sie hat jeden Mut verloren und bekennt, dass sie immer häufiger daran denkt, ihrem Leben ein vorzeitiges Ende zu setzen. Der Auslöser für einen weiteren Versuch, die Situation zu verbessern, war ein gemeinsames Essen mit ihren beiden erwachsenen Söhnen in einem Restaurant. Sie hatte extra nur weiche Speisen bestellt und sich sehr bemüht, vorsichtig zu essen. Aber die Essgeräusche waren – bedingt durch die instabilen Prothesen – deutlich vernehmbar, und das war ihr selbst und ihren Söhnen sehr peinlich. Von den Söhnen wurde sie direkt auf das "Klappern" der Prothesen angesprochen. Einer von ihnen hatte von der Möglichkeit zahnärztlicher Implantate gelesen, und beide bedrängten ihre Mutter, einen Zahnarzt aufzusuchen, der sich auf diesem Gebiet auskennt.

Zu einem Alptraum wurde für einen Aufsichtsratsvorsitzenden ein Erlebnis im belebten Frankfurter Flughafen. Er trug in jeder Hand einen Koffer und musste plötzlich niesen. Dabei fiel seine Prothese aus dem Munde, die er unter dem schadenfrohen Gelächter anderer Flugreisender wiedersuchen musste.

In einem weiteren Fall handelt es sich um einen Bankdirektor, der beim Sprechen mit der Zunge seine Prothese festhalten musste. Alle Gespräche mit Kunden und Geschäftsfreunden und die vielen "Arbeitsessen" wurden für ihn zur Qual. Er beschloss, sich vorzeitig in den Ruhestand versetzen zu lassen.

Seinen Beruf aufgeben musste auch ein 42-jähriger Blasmusiker, da er mit seiner Prothese enorme Schwierigkeiten beim Ansatz des Instrumentes hatte. Er war nicht mehr in der Lage, in einem großen Orchester Trompete zu spielen.

Der pensionierte Geschäftsführer eines großen Unternehmens fasst seine Erfahrung mit den Prothesen so zusammen: "Ich habe jetzt viel Zeit und ein gutes Auskommen. Am meisten Freude hätte ich am Essen und Zusammensein mit meinen Freunden. Und gerade das geht nicht, weil ich mit meinen Prothesen nicht fertig werde. Am liebsten esse ich, auf den Felgen zu Hause, aber dann bekomme ich jedesmal Ärger mit meiner Familie."

Ein sympathisches älteres Ehepaar kommt in die Praxis und erzählt eine Geschichte, die vielleicht manchen erheitern wird, die aber aus der Sicht der Betroffenen absolut nicht amüsant ist. Sie hatten mehrere Jahre auf eine Kreuzfahrt gespart und waren endlich in der Lage, sich diesen Traum zu erfüllen. Eine vollständig neue Garderobe wurde eingepackt. Bei der Ehefrau war die untere Prothese erst vor wenigen Wochen erneut unterfüttert worden, da sie aufgrund der ungünstigen Kieferverhältnisse immer weniger Halt fand. An Bord des Traumschiffes wurde sie am zweiten Tag seekrank mit Übelkeit und Erbrechen. Dabei ging ihre Unterkiefer­prothese über Bord. Den Rest der Reise verbrachte sie in ihrer Kabine.

Abb. 3.5: Kugelknöpfe im Mund.
Abb. 3.6: Prothesenansicht von unten mit eingearbeiteten Sekundärteilen.

Diese Beispiele ließen sich endlos fortführen. Sie zeigen die Probleme bei der Versorgung zahnloser Kiefer, wie sie immer wieder geschildert werden. Mit Hilfe sehr einfacher Maßnahmen kann durch die Einpflanzung künstlicher Zahnwurzeln eine instabile Prothese soweit befestigt werden, dass die Kau- und Sprechfunktion wieder hergestellt ist. Manchmal kann die alte Prothese weiterverwendet werden, in dem man in die Prothesenbasis Sekundärteile einarbeitet, die für Halt sorgen (Abb. 3.5, 3.6). Bei aufwendigeren Steg- oder Teleskoparbeiten muss auch der Zahnersatz der auf den Implantaten fixiert wird neu angefertigt werden. Diese Arbeiten werden dann brückenartig und sehr grazil gestaltet. (Abb. 3.7 bis 3.12).

Abb. 3.7: Individuelle Stegversorgung aus Stahl auf vier Implantaten im zahnlosen Unterkiefer.
Abb. 3.8: Individuelle Stegversorgung aus Gold auf vier Implantaten im zahnlosen Unterkiefer.
Abb. 3.9: Prothesenansicht von unten mit grazil eingearbeiteten Halteelementen.
Abb. 3.10: Zahnloser Oberkiefer mit 6 Galvano-Teleskopen.
Abb. 3.11: Prothesenansicht von unten mit grazil eingearbeiteten Halteelementen.
Abb. 3.12: Prothesenansicht von vorne mit individuell gearbeitetem Kunststoffanteil um die Lippen und Wangen zu stützen (Verjüngung).

Ein Bankkaufmann, der auf diese Weise behandelt wurde, kommentiert glücklich den Behandlungserfolg mit den Worten: "Das ist das Beste, was mir passieren konnte! Wenn ich jetzt bei Kunden schlecht sitzende Prothesen bemerke, ärgere ich mich jedes Mal, weil ich sie nicht direkt darauf ansprechen kann."

In bestimmten Situationen kann auch die Versorgung durch einen festsitzenden Zahnersatz, also durch eine Brücke, sinnvoll sein (Abb. 3.13, 3.14). Hier müssen allerdings relativ viele Pfeiler eingepflanzt werden. Mit der Anfertigung einer Brücke entstehen gewisse Probleme bei der notwendigen Mundhygiene und natürlich sehr hohe Kosten. Daher wird sie nur in besonderen Fällen in Frage kommen.

Abb. 3.13: Zahnloser Unterkiefer mit 8 Implantaten festsitzend versorgt.
Abb. 3.14: Ansicht der einzementierten Brücke.

Seltener finden sich prothetische Probleme bei Zahnlosigkeit im Oberkiefer. Dennoch können auch hier Schwierigkeiten auftreten, wie die folgende Krankengeschichte zeigt:

Eine 50-jährige Patientin hat alle Zähne im Oberkiefer verloren, da Zahnbehandlungen nach ihren Angaben immer ausgesprochen schwierig waren. Jede Berührung ihres Kiefers führte zu einem Würgereiz, der zur Unterbrechung der Behandlung zwang. Zuletzt ist sie nur noch bei Zahnschmerzen und zum Zähneziehen in die Praxis gegangen. Das Anfertigen der Prothesen war nur nach der Einnahme von Beruhigungstabletten möglich. Sie berichtet, dass sie bei jedem Kieferabdruck habe erbrechen müssen.

Die Prothese mit der Gaumenplatte könne sie nur kurzfristig tragen, und jedes Einsetzen sei mit einem Würgereiz verbunden. Meistens liegt die Prothese im Zahnputzbecher. Bereits bei der Untersuchung wird der gesteigerte Würgereiz deutlich.

Bei dieser Ausgangssituation kann nicht in allen Fällen durch den Einsatz von Implantaten geholfen werden. Im Oberkiefer ist die Knochensituation meist ungünstiger als im Unterkiefer. Wenn allerdings ausreichend Knochen vorhanden ist oder geschaffen werden kann, lässt sich durch die Einpflanzung einiger Pfeiler die Prothese erheblich verkleinern und in Einzelfällen sogar eine Brücke anfertigen. Der Zahnersatz kann dann ohne jeden Würgereiz getragen werden (Abb. 3.15 bis 3.18).

Abb. 3.15: Zahnloser Oberkiefer mit sieben Implantaten versorgt.
Abb. 3.16: Eingeschraubte Unterkonstruktion zur Befestigung des zahntragenden Anteils.
Abb. 3.17: Eingesetzte herausnehmbare, gaumenfreie Brücke.
Abb. 3.18: Eine zufriedene Patientin.

3.2 Verkürzte Zahnreihen (Freiendsituation)

Normalerweise sind für die Anfertigung einer Brücke mindestens zwei Zähne notwendig. Diese werden beschliffen und mit künstlichen Zahnkronen versehen, die ein Brückenglied tragen.

Die Backenzähne sind häufig die ersten Zähne, die entfernt und ersetzt werden müssen. Wenn alle Backenzähne einer Kieferhälfte fehlen, spricht man von einer verkürzten Zahnreihe oder einer Freiendsituation. Hier fehlt der für eine Brücke notwendige hintere Pfeiler (Abb. 3.19 bis 3.21).

Abb. 3.19: Röntgenbild einer beidseitigen Freiendsituation im Unterkiefer und einer Schaltlücke im Oberkiefer.
Abb. 3.20: Freiendsituation mit zwei eingesetzten Implantaten.
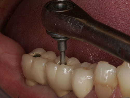
Abb. 3.21: Eingliederung einer verschraubten Brücke mit einem Drehmomentschlüssel.

Mit den herkömmlichen Verfahren der zahnärztlichen Prothetik kann eine derartige Situation nur durch eine herausnehmbare Teilprothese versorgt werden. Dies ist besonders ungünstig, wenn nur auf einer Seite Backenzähne fehlen, da die Prothese auch auf der noch bezahnten, anderen Seite ebenfalls abgestützt werden muss. Nur so lässt sich ein ausreichender Halt, eine Verschlucken und eine Aspiration des Zahnersatzes erzielen. Diese Prothesen haben deshalb einen entsprechenden Bügel, der im Oberkiefer über den Gaumen und im Unterkiefer unter der Zunge verläuft. Der Halt wird durch Klammern oder komplizierte Elemente (Geschiebe, Druckknöpfe, Attachments, Teleskope) erreicht. Die Prothesen müssen täglich vom Patienten herausgenommen und sorgfältig gereinigt werden.

Am Beispiel einer 18-jährigen Patientin soll dargestellt werden, wie problematisch diese Versorgung sein kann. Die Patientin hatte vor zwei Jahren die letzten Backenzähne im linken Unterkiefer verloren. Von ihrem Zahnarzt wurde sie darüber aufgeklärt, dass nur eine Versorgung durch herausnehmbaren Zahnersatz möglich sei. Sie bekam zunächst einen gehörigen Schrecken, ließ sich dann aber die Prothese anfertigen. In den ersten Wochen hat die junge Patientin den Zahnersatz getragen, konnte sich aber nicht mit dieser Art der Versorgung abfinden. Wenn sie mit ihrem Freund ausging, blieb die Prothese zu Hause und wurde schließlich überhaupt nicht mehr getragen. Die Zahnlücke war selbst beim Lachen kaum sichtbar, und das Kauen ging auch ohne die Prothese, da auf der anderen Seite noch Zähne vorhanden waren.

Innerhalb von knapp zwei Jahren war der letzte obere Backenzahn heruntergewachsen, sodass er beim Zusammenbeißen im hinteren Abschnitt fast die Schleimhaut des Unterkiefers berührte.

Diese Situation ist jetzt ausgesprochen schwierig zu versorgen, da der Platz zwischen dem unbezahnten Unterkiefer und der oberen Zahnreihe sehr begrenzt ist. Als Grundregel gilt deshalb, dass fehlende Zähne möglichst bald zu ersetzen sind, damit die Restzähne nicht "wandern", herauswachsen oder kippen.

Mit Hilfe künstlicher Zahnwurzeln kann bei derartig verkürzten Zahnreihen im Unterkiefer eine Brücke ­angefertigt werden. Damit lassen sich das "Herunterwachsen" oder "Heraufwachsen" (Elongation) der Gegenzähne so wie das Kippen verhindern und die Kaufunktion mit einem festsitzenden Zahnersatz wiederherstellen.

Im Oberkiefer ist diese Situation schwieriger zu lösen, da hier durch die Ausdehnung der Kieferhöhle das Knochenangebot meist erheblich geringer ist.

In jedem Fall kann – sowohl im Oberkiefer als auch im Unterkiefer – anhand einer entsprechenden Untersuchung und einer Röntgenaufnahme die Entscheidung über eine mögliche Einpflanzung getroffen werden. Im Oberkiefer ist dazu häufig ein Volumentomogramm (DVT) oder ein Computertomogramm (CT) notwendig.

3.3 Große Zahnlücken

Wenn ein oder zwei nebeneinander liegende Zähne fehlen und vor und hinter der Zahnlücke gesunde Zähne vorhanden sind, ist noch eine Brückenversorgung möglich. Bei dem Verlust mehrerer Zähne werden die Spannweiten für einen Brückenersatz zu groß. Mit Hilfe von eingepflanzten künstlichen Pfeilern in eine solche Lücke kann auch bei diesen Situationen die Voraussetzung für eine Brücke geschaffen werden. Auf das Beschleifen gesunder Zähne kann nach dem Einsetzen von Implantaten auch bei kleineren Lücken verzichtet werden (Abb. 3.22, 3.23).

Abb. 3.22: Schaltlücke im Oberkiefer mit Einheilkappen nach der Implantatfreilegung.
Abb. 3.23: Einzelkronen auf Implantaten zum Ersatz der beiden Zähne (siehe Abb. 3.22).

3.4 Reduzierte Bezahnung

Wenn viele Zähne fehlen und nur noch einige erhaltungswürdige Zähne vorhanden sind, die in den neuen Zahnersatz mit einbezogen werden können, dann spricht man von einer reduzierten Bezahnung. Die prothetische Versorgung wird als Hybridkonstruktion bezeichnet, da sie sowohl auf natürlichen Zähnen als auch auf Implantaten befestigt wird. Die Versorgung kann sowohl festsitzend - verschraubt oder zementiert - gestaltet werden (Abb. 3.24, 3.25), aber auch herausnehmbar, wobei dann häufig teleskopierende Konzepte verwendet werden (Abb. 3.26, 3.27).

Abb. 3.24: Festsitzende Hybridbrücke auf 4 Zähnen und 6 Implantaten.
Abb. 3.25: Brücken vor der Eingliederung.
Abb. 3.26: Hybridversorgung einer reduzierten Oberkieferbezahnung auf 4 Zähnen und 3 Implantaten.
Abb. 3.27: Ansicht des gaumenfreien, herausnehmbaren Zahnersatzes.

3.5 Reduzierte Bezahnung

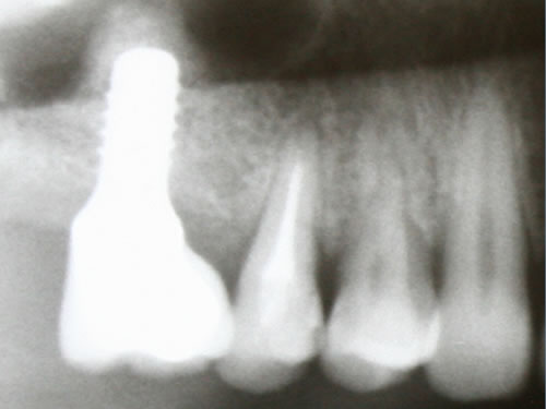
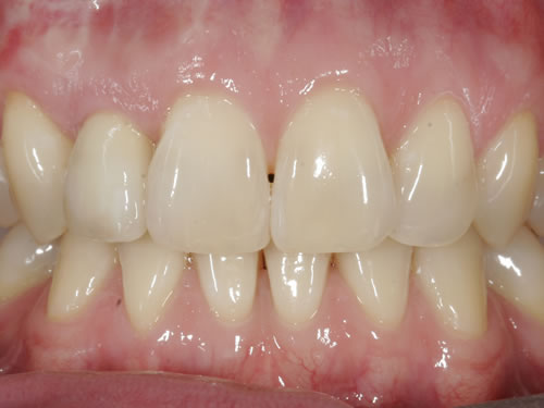
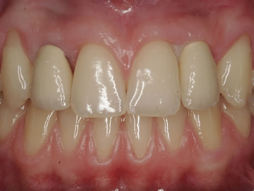
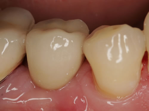
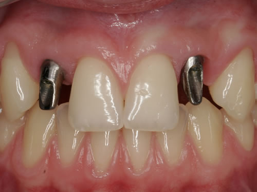
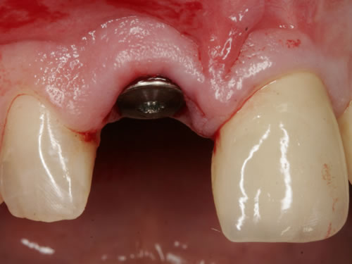
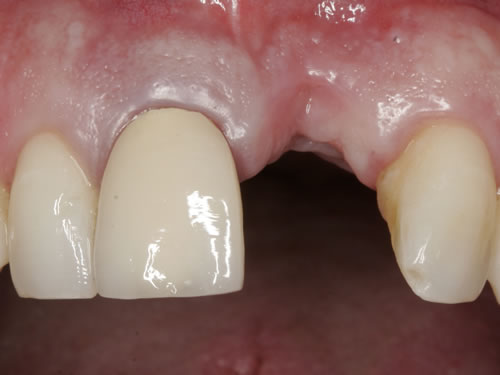
Bei einer Einzelzahnlücke handelt es sich um eine zahnbegrenzte Lücke, bei der nur ein Zahn fehlt. Häufig sind die Nachbarzähne kariesfrei und nicht überkronungsbedürftig oder schon mit Zahnersatz versorgt, so dass eine Implantatversorgung eine sinnvolle Alternative zur konventionellen Brücke ist (Abb. 3.28, 3.29).

Abb. 3.28: Einzelzahnlücke im Unterkieferseitenbereich mit eingesetztem Implantat.
Abb. 3.29: Zementierte „unsichtbare“ Implantatkrone.

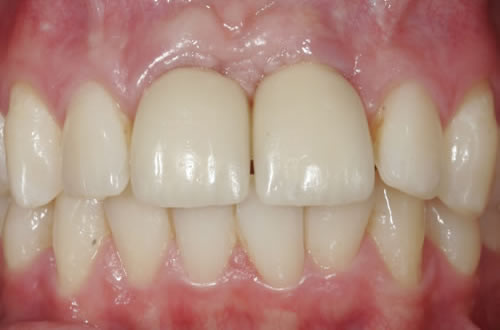
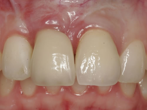
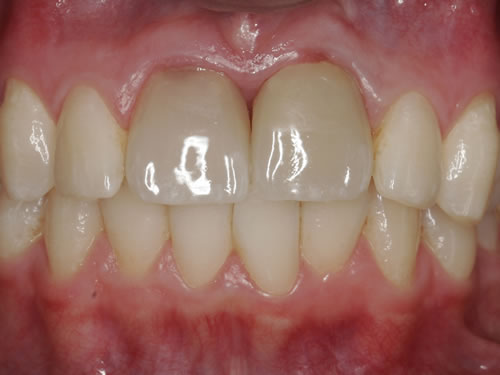
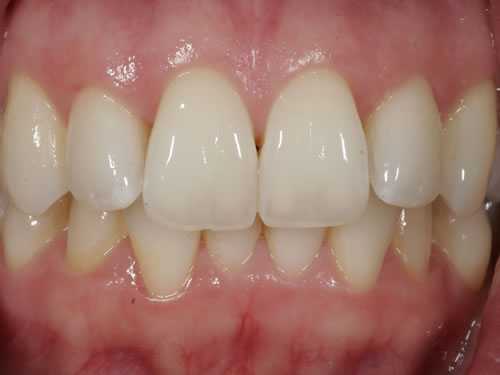
Eine besondere Herausforderung ist die Oberkieferfrontzahnregion. Der Wunsch nach einem perfekten Resultat ist geradezu selbstverständlich. Jeder möchte große, weiße Zähne und ein gesundes, reizloses Zahnfleisch besitzen (Abb. 3.30).

Abb. 3.30: Perfektes Resultat einer Versorgung.

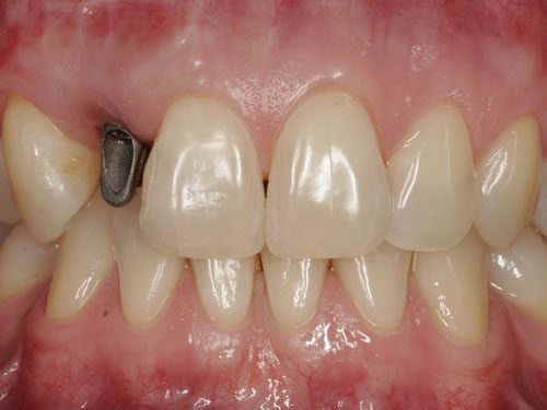
Die seitlichen Schneidezähne weisen häufig nur eine kleine Lücke auf. Hierbei dürfen die Nachbarzähne bei der Implantation nicht gefährdet oder verletzt werden. Für diese Lücken gibt es Spezialimplantate auf dem Markt, die leicht konisch gestaltet oder sehr grazil geformt sind. (Abb. 3.31, 3.32).

Abb. 3.31: Ersatz eines seitlichen Schneidezahnes durch ein Implantat.
Abb. 3.32: Zementierte perfekte Krone.

Im Alter von 12 Jahren hatte ein jetzt 20-jähriges Mädchen durch einen Skateboardunfall zwei Schneidezähne im Oberkiefer verloren (Abb. 3.33). Zunächst wurden die Zähne wieder eingesetzt, doch nach 2 Jahren lösten sich die Wurzeln auf und mussten entfernt werden (Abb. 3.34). Damit das Mädchen nicht ohne Zähne herumlaufen musste, wurden beide Frontzähne durch eine kleine Prothese ersetzt (Abb. 3.35). Das Mädchen hat die Prothese ohne zu klagen regelmäßig getragen. Inzwischen sträubt sie sich allerdings gegen diesen herausnehmbaren Zahnersatz, da sie einen Freund gefunden hat und ihr das Tragen der Prothese jetzt unangenehm ist. Die Lücke wurde durch 2 Implantate und Einzelkronen geschlossen (Abb. 3.36).

Abb. 3.33: Ausgangsbefund mit 2 entzündeten und zerstörten Zähnen nach Unfall.
Abb. 3.34: Entfernte resorbierte (aufgelöste) Zähne.
Abb. 3.35: Prothesenprovisorium zum Ersatz der beiden mittleren Frontzähne, das direkt nach der Zahnentfernung eingesetzt wurde.
Abb. 3.36: Einzementierte Implantatkronen mit perfektem Ergebnis.

Bei einer derartigen Zahnlücke kann selbstverständlich auch eine Brücke angefertigt werden. Dazu müssen die der Lücke benachbarten Zähne beschliffen und mit entsprechenden Kronen versorgt werden. Dies ist allerdings erst nach dem 18. Lebensjahr möglich, da bis zu diesem Zeitpunkt das Kieferwachstum noch nicht abgeschlossen ist und der „Zahnnerv“ innerhalb des Zahnes noch so ausgedehnt ist, dass er durch das Beschleifen beschädigt werden kann. Wenn dazu die der Lücke benachbarten Zähne vollständig gesund sind, fällt dem Zahnarzt die Entscheidung zum Beschleifen schwer. Eine neuere Möglichkeit besteht in der Anfertigung von Klebebrücken, bei denen die Zähne nur wenig beschliffen werden müssen, aber dennoch wird geringfügig gesunde Zahnsubstanz entfernt.

Gesunde Zahnsubstanz kann aber geschont werden, wenn die Einpflanzung einer künstlichen Zahnwurzel möglich ist. In bestimmten Fällen kann dies bereits nach dem 14. Lebensjahr erfolgen. Das gilt für den unfallbedingten Zahnverlust (Abb. 3.22 bis 3.36), aber auch für die von der Natur nichtangelegten bleibenden Zähne (Nichtanlagen) (Abb. 3.37 bis 3.39).

Abb. 3.37: Nichtangelegte obere seitliche Schneidezähne, Implantate mit eingeschraubten Kronenpfosten.
Abb. 3.38: Zementierte Kronen der oberen seitlichen Schneidezähne.
Abb. 3.39: Eine strahlende Patientin.

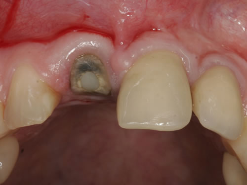
Besondere Schwierigkeiten entstehen dann, wenn unfall- oder entzündungsbedingt Knochen verloren gegangen ist. Dann sind oft Maßnahmen notwendig, die über das einfache Einsetzen der Implantate hi­nausgehen, um ein ästhetisch befriedigendes Ergebnis zu erzielen (Abb. 3.40, 3.41).

Abb. 3.40: Kieferdefekt nach unfallbedingtem Zahnverlust der Zähne 11, 12.
Abb. 3.41: Kieferdefekt nach unfallbedingtem Zahnverlust des linken oberen Schneidezahnes.

3.6 Kieferdefekte

Besonders schwierig ist die prothetische Versorgung, wenn durch Unfälle, Operationen oder angeborene Fehlbildungen (Kiefer- und Gaumenspalten) größere Kieferdefekte bestehen. Die Prothese kann keinen Halt finden, wenn nicht mehr ausreichend viele Zähne vorhanden sind. In bestimmten Fällen ist auch hier die Versorgung mit Hilfe von Implantaten möglich.

Zusammenfassung: Indikationen

  • Die dankbarste Einsatzmöglichkeit für Implantate ist der zahnlose Kiefer. Prothesen können auf vier oder mehreren Pfeilern so befestigt werden, dass das Kauen und Sprechen wieder ohne Schwierigkeiten möglich ist.
  • Nach Verlust der Backenzähne kann mit Hilfe künstlicher Zahnwurzeln eine Brücke angefertigt werden. Ohne diese Möglichkeit müsste ein herausnehm­barer Zahnersatz getragen werden.
  • Auch bei sehr großen Zahnlücken kann nach der Einpflanzung künstlicher Wurzeln ein festsitzender Zahnersatz ermöglicht werden, wo sonst nur eine Prothese angefertigt werden könnte.
  • Nach dem Verlust eines einzelnen Zahnes lässt sich das Beschleifen gesunder Zähne vermeiden, wenn ein Implantat eingesetzt werden kann.
  • Bei großen Kieferdefekten, wie sie nach Unfällen, Operationen oder durch Fehlbildungen entstehen, kann in manchen Fällen nur mit der Hilfe von Implantaten ein Zahnersatz angefertigt werden.

4 Voraussetzungen

Nicht jeder Mensch ist für eine Implantation geeignet. Bei einigen schweren Allgemeinerkrankungen, wie z. B. seltene Formen von Knochensystemerkrankungen, schwere Blutungsneigungen, Stoffwechselstörungen (schwere Zuckerkrankheit), muss auf eine derartige Maßnahme verzichtet werden. Auch bestrahlte Kieferregionen führen häufig zu Problemen bei der Einheilung der Implantate und stellen eine gewisse Kontraindikation da.

Die regelmäßige Einnahme bestimmter Medikamente (z.B. Immunsuppressiva, Kortison in hohen Dosen, Zystostatika, Bisphosphonate) sollte vor einer Implantation besonders beachtet werden. In einigen Fällen verbietet die Medikation eine Implantation. Menschen, die Blutverdünnungsmedikamente wie Isocumarinderivate (z.B. Marcumar) infolge von Schlaganfall, Herzinfarkt als Thromboseprophylaxe einnehmen müssen, müssen für einen Implantationseingriff in Zusammenarbeit mit dem behandelnden Internisten vorübergehend auf andere Medikamente umgestellt werden. Der Zahnarzt muss also darüber informiert sein, um im jeweiligen Einzelfall die richtige Entscheidung treffen zu können. In unklaren Fällen wird zunächst eine allgemeinärztliche oder internistische Untersuchung durchgeführt und nach dem Ergebnis über die Möglichkeit der Implantation entschieden. Eine enge Zusammenarbeit mit dem Hausarzt oder behandelnden Spezialisten sollte hier die Regel sein.

Neben den Allgemeinerkrankungen sind auch krankhafte Veränderungen in der Mundhöhle ein möglicher Hinderungsgrund (Kontraindikation). Diese Veränderungen können die Mundschleimhaut oder den Kieferknochen betreffen und sollten zunächst behandelt werden. Auch bei nicht behandelten kranken (kariösen) Zähnen oder einer Zahnfleischerkrankung an den Restzähnen (Parodontose) ist eine Implantation erst nach einer entsprechenden Behandlung sinnvoll.

Eine Implantation sollte in der Regel erst nach abgeschlossenem Kieferwachstum erfolgen. Dies ist bei Mädchen nach dem 15. und bei Jungen nach dem 16. Lebensjahr der Fall. In Ausnahmen darf von dieser Regel Abstand genommen werden. Hier wird eine individuelle Beratung und Aufklärung über die Vor- und Nachteile einer vorzeitigen Implantation mit dem entsprechenden Behandler notwendig sein.

Bei Implantaten ist die Mundhygiene von besonderer Bedeutung. Sie müssen sehr gut gepflegt werden, wenn ein langfristiger Erfolg erzielt werden soll. Stellt sich bei der Voruntersuchung heraus, dass keine ausreichende Pflege der noch vorhandenen Zähne durchgeführt wird und auch nach einer entsprechenden Unterweisung keine Besserung eingetreten ist, wird man auf eine Einpflanzung verzichten müssen.

Implantate müssen in halbjährlichen Abständen regelmäßig kontrolliert werden. Es sollte also gewährleistet sein, dass diese Untersuchungen durchgeführt werden können. Bei z.B. längeren Auslandsaufenthalten kann der Patient seinen Zahnarzt nicht regelmäßig aufsuchen. Ein Implantatpass und eventuell Vorinformation über ortsansässige Implantologen sollten mit dem Hauszahnarzt besprochen werden. Mittlerweile bestehen internationale Netzwerke, die eine notwendige Auslandsbehandlung der großen Implantatsysteme ermöglichen.

Für die Möglichkeit der Einpflanzung ist der vorhandene Knochen von Bedeutung. Auch sehr grazile Implantate benötigen eine bestimmte Knochensubstanz in der Höhe und Breite, die bei sehr stark abgebauten Kiefern nicht immer vorhanden ist. Der Knochen muss daher vor einer Implantation exakt vermessen werden. Damit wird auch sichergestellt, dass Verletzungen von Nerven, Blutgefäßen und den Nebenhöhlen vermieden werden (siehe auch Abschnitt: Risiken). Geringes Knochenangebot ist aber heute keine Kontraindikation, da wir in der modernen Implantologie viele Möglichkeiten des Knochenaufbaus besitzen.

Zusammenfassung: Kontraindikationen

Implantationen sind nicht möglich bei:

  • schweren Allgemeinerkrankungen (z.B. Herz-, Blut-, Knochen- oder Stoffwechselerkrankungen),
  • Einnahme bestimmter Medikamente (z.B. Immunsuppressiva, Zystostatika, Kortison und teilweise Bisphosphonate),
  • Krankheiten im Munde (z.B. Karies, Zahnfleischentzündungen, Mundschleimhaut- oder Kiefererkrankungen),
  • unzureichender Mundhygiene,
  • mangelnder Bereitschaft zur regelmäßigen Kontrollen,
  • schweren psychischen Grunderkrankungen
  • nicht abgeschlossenem Kieferwachstum

Wir begleiten in den nächsten Abschnitten eine 46-jährige Patientin (Frau W.), die bereits im Alter von 28 Jahren alle Zähne im Ober- und Unterkiefer verloren hat. Sie trägt seit 18 Jahren Prothesen. In den ersten Jahren war sie damit zufrieden. Dann wurden immer häufiger Unterfütterungen und schließlich Neuanfertigungen notwendig. Die Unterkieferprothese findet inzwischen überhaupt keinen Halt mehr, da der Kiefer sehr flach geworden ist. Im Oberkiefer wird die Gaumenplatte als sehr störend empfunden. Frau W. spricht außer Deutsch sechs Fremdsprachen und hat über viele Jahre an einer Waldorfschule Russisch unterrichtet. Das deutliche Sprechen fiel ihr aber immer schwerer, sodass sie schließlich die Lehrtätigkeit aufgegeben hat. Sie sucht jedoch verzweifelt nach einer Lösung, da ihr der Beruf fehlt.

5 Voruntersuchung und Planung

Abb. 5.1: Planungsmodell mit angefertigter Planungsschablone.

Vor jeder Einpflanzung muss eine genaue Anamnese (Krankengeschichte) erhoben werden, in der nach Allgemeinerkrankungen und der speziellen zahnärztlichen Vorgeschichte gefragt wird. Sehr hilfreich ist es, wenn der Patient seinem Zahnarzt Unterlagen, Medikamente, eventuell auch vorhandene Röntgenaufnahmen vorlegen kann (siehe Anamnese-Erhebungsbogen).

Die zahnärztliche Untersuchung umfasst die Beurteilung der gesamten Mundhöhle, der Schleimhaut, der Zähne und der Kieferknochen. Wenn eine Einpflanzung in Erwägung gezogen wird, muss eine Röntgenmessaufnahme angefertigt werden. Dazu wird nach einem Kieferabdruck eine Planungsschablone hergestellt, in die Metallkörper (Kugeln oder Stifte) an den Stellen eingearbeitet sind, an denen eine Implantation geplant ist (Abb. 5.1, 5.2). Diese Platte wird in den Mund des Patienten eingesetzt und die Röntgenaufnahme angefertigt (Abb. 5.3, 5.4).

Abb. 5.2: Planungsschablone mit genormten Hülsen an den geplanten Implantationsstellen.
Abb. 5.3: Eingesetzte Planungsschablone vor dem Röntgenbild.
Abb. 5.4: Kugelmessaufnahme zur Planung der Implantatlängen.
Abb. 5.5: Vermessen des Kiefers in mit speziellem Computerprogramm.

Da die Größe der Metallkörper, die auf der Aufnahme gut sichtbar sind, bekannt ist, kann aus dem Röntgenbild die zur Verfügung stehende Knochenhöhe sehr genau errechnet werden.

Mit der Entwicklung der Computertomographie (CT) und in jüngerer Vergangenheit der digitalen Volumentomographie (DVT) stehen Untersuchungsverfahren zur Verfügung, mit denen sehr viel einfacher und genauer das Knochenangebot vermessen werden kann. Von dem Patienten wird in einer Klinik oder Praxis, die über die entsprechenden Möglichkeiten verfügt, ein Spezialröntgenbild (DVT/CT) des Ober-, seltener des Unterkiefers, angefertigt. Dieses spezielle Röntgenbild dauert für einen Kiefer 20 Sekunden. Der große Vorteil liegt darin, dass der gesamte Kiefer durch den Computer in über 100 Schnitten abgebildet werden kann. Auf diesen Schnittbildern können Höhe und Breite des Knochens direkt abgemessen werden (Abb. 5.5).

Abb. 5.6: Sternartige Knochenleisten in der Nasennebenhöhle.

Nach dem Überspielen der Daten auf den Praxiscomputer des Zahnarztes eröffnen sich weitere Möglichkeiten. Der Kiefer wird in verschiedenen Ebenen gleichzeitig dargestellt und damit eine räumliche Auswertung möglich. Neben der Vermessung des Kiefers kann die Knochenqualität durch Dichtemessungen beurteilt werden. Damit lässt sich z.B. eine bestimmte Knochenerkrankung, die Osteoporose, nachweisen bzw. ausschließen.

Am Praxiscomputer lassen sich Besonderheiten des jeweiligen Patienten herausarbeiten, wie z. B. die Beschaffenheit der Nasennebenhöhle. Hier können verschiedenen Knochenleisten (Abb. 5.6) oder Schleimhautveränderungen das Implantieren erschweren. Umso wichtiger ist es durch ein Computertomogramm diese Variationen vor der Implantation zu kennen. In den speziellen Programmen können bereits Implantationen simuliert werden (Abb. 5.7, 5.8).

Abb. 5.7: Implantations- simulation am PC.
Abb. 5.8: Implantatplanung.

Dabei werden das Implantat, die richtige Länge und der geeignete Durchmesser ausgewählt. Entscheidend ist auch die Richtung, in der implantiert werden muss. Auch dies lässt sich bereits am Computer auf den Schnittbildern simulieren. Eine dreidimensionale Darstellung des Knochens und die Möglichkeit das äußere Profil zu zeigen, verdeutlichen den späteren Sitz der Implantate und die Beziehung zum Gegenkiefer, zur Kauebene, zu Wangen und Lippen lassen die spätere Versorgung kosmetisch vorhersehen (Abb. 5.9, 5.10). Eine Dichtemessung um die Implantate schließt die Planung ab.

Mit diesem Untersuchungsverfahren ist die Implantation auch bei schwierigen Situationen möglich und sehr sicher geworden.

Im Oberkiefer wird diese Untersuchung und Planung in unserer eigenen Praxis seit Jahren routinemäßig durchgeführt. Die erheblich verbesserten Ergebnisse rechtfertigen den Mehraufwand, die geringfügig höhere Strahlenbelastung der heutzutage modernen Geräte sowie die Kosten, die dadurch entstehen.

Abb. 5.9: Dreidimensionale Darstellung der geplanten Implantate im knöchernen Anteil.
Abb. 5.10: Dreidimensionale Implantatplanung und Lagebeziehung zu Wangen und Lippen.

In den meisten Fällen ist nach der Untersuchung und Planung noch eine Vorbehandlung notwendig. Zunächst wird routinemäßig eine professionelle Zahnreinigung durchgeführt, um die Keimzahl in der Mundhöhle und in den Zahnfleischtaschen zu reduzieren (Abb. 5.11, 5.12). Anschließend sollten alle kranken Zähne, entzündetes Zahnfleisch oder auch Kiefergelenkerkrankungen behandelt werden. Die Planung der Einpflanzung sollte immer unter dem Gesichtspunkt der Sanierung des gesamten Gebisses erfolgen. Sie umfasst die Auswahl der geeigneten Implantate, ihre Anzahl und die genaue Position. Diese Vorbereitungen sind sehr wichtig, um nach der Einheilungszeit einen Zahnersatz anfertigen zu können, der die Wiederherstellung der Funktion und der Ästhetik gewährleistet.

Abb. 5.11: Zustand vor professioneller Zahnreinigung.
Abb. 5.12: Recall 1 Woche nach der professionellen Zahnreinigung durch Prophylaxeassistentin.

Bei der Auswahl des Implantatsystems, der genauen Größe der Implantate und der Anzahl der Pfeiler spielt das vorhandene Knochenangebot eine wichtige Rolle. Aus der Vielzahl von Implantaten wird der Zahnarzt solche auswählen, mit denen er persönlich bereits gute Erfahrungen gesammelt hat und die für die spezielle Situation geeignet sind. Die richtige Anzahl der Pfeiler hängt neben der Knochensituation von der Größe der Zahnlücke und der Anzahl der Zähne im Gegenkiefer ab. Die Position muss so gewählt werden, dass später die künstliche Krone Kontakt zu den Zähnen im Gegenkiefer hat und damit auch zum Kauen genutzt werden kann.

Für diese Planung werden häufig Modelle benötigt, für die entsprechende Abdrücke gemacht werden. Nach der Auswertung wird ein Aufklärungsgespräch notwendig, in dem das weitere Vorgehen und besondere Verhaltensmaßregeln genau erläutert werden. Hier sollten alle Fragen angesprochen werden, die bisher offen geblieben sind. In dem Aufklärungsgespräch sollten noch einmal verschiedene Konzepte mit Vor- und Nachteilen und den medizinischen Folgen angesprochen werden. In unserer Praxis wird der für den jeweiligen Patienten optimale Zahnersatz den Wünschen entsprechend herausgearbeitet. Gleichzeitig werden alternative Behandlungsmethoden aufgelistet und mit dem konventionellen Zahnersatz verglichen. Anschließend wird ein Kostenvoranschlag erstellt, der vor Behandlungsbeginn von den Krankenkassen und Beihilfestellen genehmigt sein muss.

Nach dem Eingriff darf der Patient für einige Tage nur flüssige, passierte oder sehr weiche Kost zu sich nehmen. Es empfiehlt sich, dafür bereits vor der Einpflanzung Sorge zu tragen. Um eine möglichst ungestörte Einheilung zu gewährleisten, sollten für 1 bis 2 Tage die Wangen oder das Kinn gekühlt werden. Entsprechende Kühlelemente sind ebenfalls vorzubereiten oder werden häufig auch nach der Behandlung mitgegeben. Am Implantationstag darf der Patient kein Kraftfahrzeug führen, sondern sollte in Begleitung in die Praxis oder Klinik kommen.

In jedem Fall muss die provisorische prothetische Versorgung angesprochen werden. In den meisten Fällen kann der vorhandene Zahnersatz sofort nach der Einpflanzung als Provisorium eingesetzt werden. Nur in besonderen Fällen, wenn z.B. gleichzeitig eine Verlagerung der Schleimhaut durchgeführt oder der Kiefer aufgebaut wird, ist dies nicht möglich. Hier muss erst die Wundheilung abgewartet werden, die unterschiedlich lange dauern kann. Eine ausführliche Beratung wird diese Problematik umfassen.

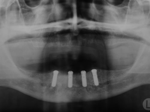
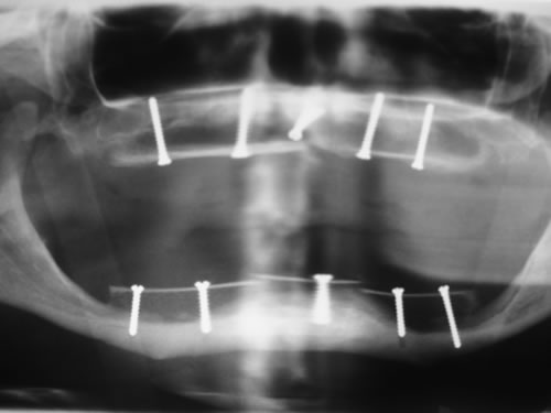
Bei der ersten Untersuchung in der Praxis hat Frau W. zunächst den Anamnesebogen ausgefüllt. Sie ist nie ernstlich krank gewesen und nimmt nur gelegentlich eine Kopfschmerztablette. In einem ausführlichen Gespräch berichtet sie ihrem Zahnarzt über die Schwierigkeiten mit den Prothesen. Nach einer ersten Untersuchung kann ihr der Zahnarzt Mut machen. Die Kieferverhältnisse sind zwar sehr ungünstig, doch so, dass eine Einpflanzung noch möglich ist. Die vorhandenen Prothesen weisen keine Mängel auf, finden aber keinen Halt. Beide Prothesen sollen nach der Einpflanzung weiter getragen werden. Nach einem Kieferabdruck wird eine Platte für den Unterkiefer angefertigt, auf der Metallkugeln befestigt sind. Sie wird wie eine Prothese eingesetzt, und es wird eine Röntgenaufnahme gemacht, die anschließend vom Zahnarzt genau vermessen wird. Es ergibt sich, dass noch eine Resthöhe von 15 mm vorhanden ist. Da auch die Breite des Kiefers ausreicht, wird ihr die Einpflanzung von vier künstlichen Zahnwurzeln empfohlen. Für ihre spezielle Kieferform ist dies die beste Lösung.

Für den Oberkiefer ist eine CT-Untersuchung notwendig, die ebenfalls mit einer Schablone durchgeführt wird. Auswertung, Planung und Implantations-Simulationen ergeben, dass sechs Implantate im vorderen Kieferabschnitt verankert werden können. Auch die Qualität des Knochens lässt eine Einpflanzung ohne weitere Maßnahmen zu. Diese Behandlung soll nach der Versorgung des Unterkiefers erfolgen.

Name: ............................... Vorname: ...............................

Geburtsdatum: ...............................

Adresse: ........................................................................

  1. Haben Sie irgendwelche allgemeine Krankheiten?ja/nein*
    Wenn ja, welche?

    .................................................................................

  2. Waren Sie in den letzten 2 Jahren im Krankenhaus?ja/nein*
    Wenn ja, weshalb?

    .................................................................................

  3. Nehmen Sie ständig Medikamente?ja/nein*
    Wenn ja, welche?

    .................................................................................

  4. Besteht zur Zeit eine Schwangerschaft?ja/nein*

    .................................................................................

  5. Haben Sie eine der nachfolgend aufgeführten Erkrankungen?ja/nein*

    [ ] Herzkrankheit
    [ ] Zuckerkrankheit
    [ ] Blutkrankheit
    [ ] Allergie
    [ ] Schilddrüsenerkrankung
    [ ] Lungenerkrankung
    [ ] Nervenerkrankung

    [ ] Kreislauferkrankung
    [ ] Lebererkrankung
    [ ] Rheuma
    [ ] Nierenerkrankung
    [ ] Anfallsleiden
    [ ] Magen-Darmerkrankung
    [ ] AIDS (HIV positiv)

  6. Neigen Sie zu Nachblutungen oder blauen Flecken?ja/nein*
    Wenn ja, welche?

    .................................................................................

 

.................................................................................
Datum      Unterschrift

Unsere Patientin fragt nach dem genauen Ablauf der Behandlung und nach der Höhe der Kosten. Die einzelnen Behandlungsschritte und die notwendige Vorbereitung werden erläutert, außerdem wird ein Kostenplan erstellt. Die Pfeiler sollen drei Monate unter der Schleimhaut einwachsen und dann Teleskopkronen und ein Steg angefertigt werden, auf dem die Prothese Halt findet. An einem Kiefermodell wird Frau W. die Art der Versorgung erklärt und das Einrasten der Prothese auf dem Steg gezeigt. Sie ist mit der vorgeschlagenen Behandlung einverstanden.

Im Wartezimmer hat sie sich eine Videokassette angesehen und Gelegenheit, sich zufällig mit einer anderen Patientin zu unterhalten, die bereits vor einigen Jahren auf diese Weise versorgt wurde. Frau W. interessieren vor allem der Halt der Prothese und eventuelle Schmerzen. Nach diesem Gespräch, das sie sehr zuversichtlich gestimmt hat, willigt sie in die vorgeschlagene Behandlung ein. Es wird ein Termin für die Einpflanzung vereinbart.

Zusammenfassung: Voruntersuchung und Planung

Zu den notwendigen Voruntersuchungen gehören:

  • eine ausführliche Anamnese,
  • eine zahnärztliche Untersuchung,
  • eine Röntgenuntersuchung, evtl. Computertomographie,
  • das Vermessen der Kiefer in Höhe und Breite

In vielen Fällen wird eine Vorbehandlung notwendig. Sie umfasst:

  • eine professionelle Zahnreinigung
  • die Behandlung kariöser Zähne,
  • die Entfernung nicht erhaltungswürdiger Zähne und Wurzeln,
  • die Behandlung von Zahnfleischerkrankungen,
  • das Anfertigen eines provisorischen Zahnersatzes,
  • die eventuelle Behandlung von Kiefergelenkerkrankungen.

6 Die Einpflanzung (Implantation)

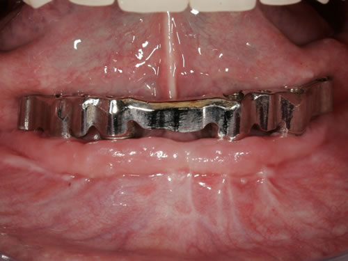
Die Implantation kann in den meisten Fällen ohne Schwierigkeiten völlig schmerzfrei in örtlicher Betäubung ambulant durchgeführt werden und wird von den Patienten als sehr viel weniger unangenehm empfunden als eine Zahnentfernung oder andere zahnärztliche Behandlungen. Größere Eingriffe können auch ambulant in Vollnarkose durchgeführt werden. Für ein einzelnes Implantat wird mit einem kleinen Schleimhautschnitt die Knochenoberfläche freigelegt und in den Knochen ein Loch gebohrt, das genau der Größe der künstlichen Zahnwurzel entspricht. Dieses Bohren muss sehr vorsichtig unter sorgfältiger Kühlung erfolgen, da der Knochen möglichst wenig geschädigt werden darf. Wenn schraubenförmige Implantate verwendet werden, muss bei einigen Systemen ein Gewinde geschnitten werden. Das Implantat wird danach - ebenfalls sehr vorsichtig - in den Knochen eingesetzt. Das Innengewinde wird für die Dauer der Einheilung mit einer Schraube verschlossen und die kleine Schleimhautwunde durch Nähte versorgt, die nach 7-10 Tagen entfernt werden müssen.

Nach einer solchen Einpflanzung wird nach dem Abklingen der örtlichen Betäubung nur ein sehr geringer Wundschmerz auftreten, wenn sich der Patient an die Verhaltensmaßregeln hält (siehe Merkblatt). Eine Befragung und Auswertung einer großen Anzahl von Patienten hat gezeigt, dass durchschnittlich weniger als eine Schmerztablette eingenommen wird. 35% der Patienten benötigen überhaupt keine Schmerztabletten. Auch wenn mehr als ein Implantat eingesetzt wird, ist nicht mit einem wesentlich größeren Wundschmerz zu rechnen. Es verlängert sich aber die Zeit, die für die Implantation benötigt wird.

Neben der vorsichtigen Bohrung für jeden einzelnen Pfeiler muss auch noch dafür gesorgt werden, dass diese möglichst parallel in den Kiefer eingebracht werden. Das erleichtert die spätere prothetische Versorgung. Je nach Art und Umfang des Eingriffes werden Medikamente verordnet und Kontrolltermine vereinbart. In jedem Fall muss eine Nachuntersuchung nach ca. einer Woche erfolgen, bei der in der Regel auch die Nähte entfernt werden. Dies bereitet keine Schmerzen.

Die eingesetzten Pfeiler liegen entweder unter der Schleimhaut oder sind bereits in der Mundhöhle sichtbar. Im letzteren Fall muss der vorhandene Zahnersatz so geändert werden, dass in der Einheilungszeit keine Belastung erfolgt. Zu diesem Zweck werden Prothesen so weit ausgeschliffen, dass kein Kontakt zu den Implantaten besteht. Dennoch muss der Patient in diesen Fällen besonders vorsichtig sein, da bereits das Spielen mit der Zunge in der Phase des Einwachsens zu Komplikationen führen kann.

Die Einheilungszeit beträgt für den Unterkiefer in der Regel ca. 2-3 Monate und für den Oberkiefer ca. 3-6 Monate. Erst dann kann sich die weitere Versorgung anschließen.

Unsere Patientin hat gut gefrühstückt und kommt in Begleitung ihres Mannes in die Praxis. Sie ist doch etwas ängstlich, beruhigt sich aber nach einem kurzen Gespräch mit dem Zahnarzt. Sie erhält im Unterkiefer auf beiden Seiten Spritzen, die zwar etwas unangenehm, aber doch erträglich sind. Sie führen dazu, dass beide Seiten - auch die Unterlippe - taub werden. Frau W. wird unterhalb des Kopfes mit einem Tuch bedeckt, der Zahnarzt und die Assistentinnen tragen sterile Kittel, Mundschutz und Handschuhe. Bei der Einpflanzung hat die Patientin keinerlei Schmerzen, sie spürt aber, dass gebohrt wird. Nach 20 Minuten ist alles überstanden. Es wird noch ein Röntgenbild angefertigt, ausführlich über das Verhalten in den nächsten Tagen gesprochen, Schmerztabletten mitgegeben und ein neuer Termin vereinbart.

Die Prothesen werden sofort wieder eingesetzt. Die untere Prothese darf aber in den ersten Tagen nach der Implantation nicht belastet werden. Daher wird flüssige Kost verordnet. Nach dem Eingriff tritt nur eine leichte Schwellung auf, da Frau W. die ganze Zeit gut gekühlt hat. Sie hat nur zwei Schmerztabletten eingenommen und berichtet ihrem Zahnarzt, dass sie sich alles viel schlimmer vorgestellt hatte.

Frau W. darf jetzt - 3 Tage nach der Implantation - weiche Kost essen. Nach 7 Tagen erfolgt die Nahtentfernung. An diesem Tag besteht kaum noch eine Schwellung. Die Nähte haben sie etwas gestört. Von der Nahtentfernung hat sie kaum etwas gespürt. Die Prothese wird geändert und den neuen Verhältnissen angepasst. Eine weitere Kontrolluntersuchung wird in 6 Wochen vereinbart.

Bei Einpflanzungen in örtlicher Betäubung sollte morgens gut gefrühstückt werden.

Wenn nicht anders verordnet, müssen alle Medikamente wie gewohnt eingenommen werden.

Häusliche Vorbereitung:

  • Bereitstellen von Kühlelementen,
  • Vorbereitung flüssiger bzw. weicher Nahrung,
  • Organisation der An- und Rückfahrt zur Praxis am Tag der Implantation.

Merkblatt für das Verhalten nach zahnärztlichen Implantationen

  1. Kein selbstständiges Führen eines Kraftfahrzeuges am Operationstag. Eingeschränkte Verkehrstüchtigkeit!!!
  2. Die Wangenschwellung kann durch feuchtkalte Wangenauflagen der operierten Seite (kalter Umschlag, Plastikbeutel mit Eisstücken, Kühlelemente) reduziert werden. Keine Wärme!!!
  3. Der Aufbisstupfer sollte nach 30 Minuten entfernt werden.
  4. Am Operationstag keinen Kaffee, keinen Alkohol, kein Nikotin.
  5. Keine Nahrungsaufnahme vor Abklingen der örtlichen Betäubung. In den ersten drei Tagen nur flüssige oder streng passierte Kost, so dass die Wunde nicht belastet wird.
  6. Am ersten Tag nicht spülen; am nächsten Tag Mundpflege mit lauwarmem Wasser, Kamillentee, Chlorhexidinlösung, Meridol oder Wasserstoffsuperoxid (1‑Esslöffel einer 3%igen Lösung auf 1 Glas Wasser). Ab 3. Tag vorsichtiges Zähneputzen und weiterhin intensive Mundhygiene.
  7. Kleinere Nachblutungen können durch Druck mit einem gebügelten Taschentuch oder eventuell mitgegebenen Aufbisstupfern gestillt werden. Bei stärkeren Blutungen muss die Praxis aufgesucht werden.
  8. Bei Eintritt eines Wundschmerzes Einnahme von höchstens … Schmerztabletten. Die Fahrtauglichkeit ist bei höherer Dosierung und insbesondere bei zusätzlichem Alkoholgenuss erheblich herabgesetzt. Bei anhaltenden Schmerzen vorzeitige Wiedervorstellung.
  9. Belastungen von in die Mundhöhle ragenden Pfeilern müssen in der Einheilphase vermieden werden. Vorsicht beim Abbeißen und Kauen. Kein Spielen mit den Fingern oder der Zunge an den Pfeilern!
  10. Wiedervorstellung am: ................................................ Notfallnummer:................................................

7 Knochenersatz und Weichgewebeersatz

7.1 Einpflanzung von Knochen

Abb. 7.1: Gesammelte Knochenspähne in einem Spezialfilter.

Das sicher beste Ersatzmaterial für fehlenden Knochen ist der Knochen des Patienten selbst (Knochentransplantation). Er kann bis zu einem gewissen Umfang aus der Region oder aus der Nachbarschaft gewonnen werden, in dem die Einpflanzungen durchgeführt werden sollen. Spezielle Sauger ermöglichen es, die bei der Bohrung anfallenden Bohrspäne aufzusammeln. So kann dieser Knochen, der als Abfallprodukt anfällt gesammelt und für knochenverbessernde Maßnahmen verwendet werden (Abb. 7.1).

Wenn dieser Knochen nicht ausreicht, wird man zunächst prüfen, ob er aus anderen Kieferregionen gewonnen werden kann. Hierbei bietet sich die Weisheitszahnregion oder das Kinn an, wo ohne kosmetische Nachteile viel eigener Knochen gewonnen werden kann. Erst wenn dieser Knochen auch nicht ausreicht, werden andere Körperregionen zur Entnahme herangezogen. Dabei hat sich der Knochen aus dem Beckenkamm am besten bewährt. Allerdings muss diese Entnahme in der Regel während eines stationären Aufenthaltes - meist auch in Narkose - durchgeführt werden (Abb. 7.2, 7.3). Da diese Operation doch eine gewisse Belastung darstellt, hat man nach Wegen gesucht, diesen Eingriff zu vermeiden.

Abb. 7.2: Röntgenbild mit Beckenkammtransplantaten im Ober- und Unterkiefer.
Abb. 7.3: Eingesetzte Implantate nach Einwachsen der Knochentransplantate.

7.2 Verwendung von Knochenersatzmaterialien

Die Industrie hat eine Vielzahl von Materialien entwickelt, die dem menschlichen Knochen in ihrer Zusammensetzung sehr ähnlich sind. Sie werden aus Tierknochen gewonnen, aus Algen, Korallen oder synthetisch hergestellt. Sie dienen größtenteils als Platzhalter und werden nach der Einpflanzung in den Kieferknochen langsam aufgelöst und durch eigenen Knochen ersetzt oder in eigenen Knochen eingebaut. Je nach verwendetem Material kann dies zwischen mehreren Monaten bis zu mehreren Jahren dauern. Voraussetzung für ihren Einsatz ist ein gewisser Restknochen, von dem die Neubildung ausgehen kann und der eine Stabilität der Implantate gewährleistet, wenn die Einpflanzung der künstlichen Pfeiler mit dem Aufbau des Kieferknochens zusammen durchgeführt wird. Reicht dieser Restknochen nicht aus, muss erst die Knochenbildung abgewartet und zu einem späteren Zeitpunkt implantiert werden. Knochenaufbaumaßnahmen können also einzeitig oder zweizeitig erfolgen. Einzeitig bedeutet, dass der Knochenaufbau zeitgleich mit dem Setzen der Implantate geschieht. Zweizeitig bedeutet, dass die Knochenaufbaumaßnahmen nicht in einer Sitzung mit der Implantation erfolgen kann. Je nach verwendetem Material kann die Implantation 3-6 Monate später erfolgen. Häufig erfolgt eine Kombination aus körpereigenem Knochen und Knochenaufbaumaterialien, die entweder gemischt oder geschichtet werden. Je mehr eigener Knochen verwendet wird, umso früher kann die Implantation durchgeführt werden.

7.3 Einsatz von knochenbildenden Substanzen

Im menschlichen Körper finden sich Eiweißstoffe (Proteine, BMP), die für die Knochenbildung verantwortlich sind. Sie sorgen dafür, dass bestimmte Zellen sich zu Knochenzellen umwandeln, die dann den Knochen produzieren. Seit einigen Jahren werden Untersuchungen mit diesen Stoffen durchgeführt. Sie haben zu sehr viel versprechenden Ergebnissen geführt. Allerdings ist ihr Einsatz mit gewissen Risiken verbunden und die Herstellung dieser Knochenwachstumsfaktoren sehr kostspielig. In den USA wurde ein Verfahren entwickelt, das diese Risiken nicht hat. Aus dem Blut des Patienten werden Blutplättchen (Thrombozyten) in konzentrierter Form gewonnen und zur Knochenbildung genutzt. Sie enthalten eine Vielzahl von Wachstumsfaktoren, die auch die Knochenbildung günstig beeinflussen. Die Gewinnung eines plättchenreichen Plasmas (PRP-Verfahren) aus dem Blut ist relativ einfach und für den Patienten nicht belastend. Außerdem besteht praktisch kein Risiko, da es nur Substanzen enthält, die aus dem eigenen Blut gewonnen werden.

Sehr häufig finden sich im Seitenabschnitt des Oberkiefers ungünstige Knochenverhältnisse. Über dem Kiefer liegen die Kieferhöhlen. Bei Erkältungskrankheiten können sie in Form von „Nebenhöhlenvereiterungen“ mit betroffen sein. Mit einer Bucht ragen sie meist sehr weit in den Kiefer, sodass der Knochen hier sehr niedrig ist (Abb. 7.4 bis 7.6).

Abb. 7.4: Durchschnittliches Knochenangebot im Oberkieferseitenzahnbereiches unterhalb der Nasennebenhöhle.
Abb. 7.5: Röntgenmeßaufnahme mit deutlich ausgeprägter Nasennebehöhle und geringer Restknochenhöhe.
Abb. 7.6: Eingefärbtes Bild zur Verdeutlichung  der Kiefer- und Nasennebenhöhlenstrukturen.

Man versucht in diesen Fällen ausreichend Knochen zu gewinnen, indem man in die Bucht der Kieferhöhle Knochen oder Knochenersatzmaterialien einpflanzt. Die Kieferhöhlen sind mit einer dünnen Schleimhaut ausgekleidet. Die besonderen Schwierigkeiten bestehen darin, diese Schleimhaut vom Boden der Höhle zu lösen und anzuheben, ohne sie zu verletzen. Wenn das gelingt, kann man sehr sicher ein ausreichendes Knochenangebot gewinnen und die Einpflanzung künstlicher Zähne vornehmen (Abb. 7.7, 7.8).

Abb. 7.7: Einzelzahnimplantat mit Sinusliftoperation.
Abb. 7.8: Deutliche Verknöcherung des eingelagerten Knochenaufbaumaterials.

Dieser Eingriff wird als „Sinusbodenelevation“ oder „Sinuslift“ bezeichnet und ist heute bei erfahrenen implantologisch tätigen Zahnärzten ein Routine-Eingriff mit sehr guten Ergebnissen. Weitere Fortschritte werden in Zukunft mit der genetischen Zucht von Wachstumsfaktoren erwartet. Bis zur Praxistauglichkeit  können die körpereigenen, weniger konzentrierten Faktoren aus venösem Eigenblut, Defektblut oder sind in Verbindung mit der Verwendung des plättchenreichen Plasmas (PRP-Verfahren) genutzt worden. Häufig wird der Sinuslift bei extrem gering ausgebildeten zahnlosen Oberkiefern (Abb. 7.9) verwendet, da diese Operationsmethode eine sehr elegante Methode ist, den Knochen in der Höhe zu verbessern, wenn in vorderen Kieferabschnitten kein ausreichendes Knochenangebot vorhanden ist. In den neu geschaffenen Knochen können ein- oder zweizeitig Implantate gesetzt werden, die zur Aufnahme von einem gaumenfreien Zahnersatz oder zur Stabilisierung einer Prothese dienen können (Abb. 7.10 bis 7.12).

Abb. 7.9: Zahnloser Oberkiefer mit extrem geringem Knochenangebot.
Abb. 7.10: Zahnloser Oberkiefer mit Sinuslift und 6 Implantaten und 2 Unterkonstruktionen versorgt.
Abb. 7.11: Herausnehmbarer, gaumenfreier Zahnersatz (Ansicht von unten).
Abb. 7.12: Eingesetzter Zahnersatz im extrem atrophierten Oberkiefer.
Abb. 7.13: Computergestützte CT-Planung des benötigten Volumens.

Die Voruntersuchung und Planung müssen vor dertigen Maßnahmen sehr sorgfältig erfolgen, und das vorhandene Knochenangebot muss genau vermessen werden. Auch die Qualität des vorhandenen Knochens ist von Bedeutung. Bei Vorliegen von Kieferhöhlenerkrankungen sollten diese erst behandelt werden. Die besten Voraussetzungen für eine erfolgreiche Behandlung bietet die Auswertung eines Computertomogrammes. Hier kann neben der Beurteilung der Situation auch die Menge des vorhandenen Ersatzmaterials bestimmt werden (Abb. 067).

7.4. Weichgewebsersatz

Häufig führt ein Zahnverlust zu einem Verlust von Knochen (Hartgewebe) und der bedeckenden Schleimhaut (Weichgewebe). Besonders im sichtbaren ästhetisch sensiblen Bereich ist es aber notwendig, dass sowohl Hart- als auch Weichgewebe so wiederhergestellt wird, dass im Idealfall das Zahnimplantat mit seiner Krone dem Aussehen des ehemaligen gesunden Zahn entspricht. Als Erfolgskriterien werden aus zahntechnischer Sicht die Form, Farbe und Größe der individuellen Krone angesehen. Aus medizinischer Sicht gibt es wichtige Erfolgskriterien, die die Implantatposition, die Implantatlänge, den Implantatdurchmesser, den Zahnfleischrand im Vergleich zum Nachbarzahn und die Zahnfleischpapillen zwischen den Zähnen beinhalten. Zusätzlich braucht man ein zahntechnisches Labor, das mit der Keramikverarbeitung ein natürliches Aussehen gestalten kann. Nur, wenn alle Parameter perfekt sind, ist das Ergebnis perfekt. Das macht den Einzelzahnersatz im Oberkieferfrontzahngebiet zu einer echten Herausforderung.

Nach der Entfernung von Zähnen kommt es schnell zu Knochenverlust (Resorptionen) und entsprechendem Verlust von Schleimhaut. Die Schleimhaut kann durch bestimmte Operationstechniken wiederhergestellt werden, in dem man freie oder gestielte Bindegewebstransplantate z. B. vom Gaumen entnimmt und das fehlende Material so ersetzt. Das Weichgewebe kann in unterschiedlichen Behandlungsphasen korrigiert werden. In vielen Fällen wird es während der Implantation oder bei der Freilegung verbessert. Manchmal müssen Feinkorrekturen auch nach Eingliederung der fertig gestellten Krone erfolgen, wenn ästhetische Einbußen vorliegen. Häufig hat die Zahnfleischkorrektur auch noch einmal die Änderung der endgültigen Krone zur Folge (Abb. 7.14, 7.15).

Abb. 7.14: Unbefriedigendes ästhetisches Ergebnis nach Implantatversorgung.
Abb. 7.15: Perfektes Ergebnis nach Weichgewebskorrektur und nach Eingliederung der geänderten Krone.

Aus der bekannten Tatsache, dass Knochen- und Weichgewebsverlust nach Zahnentfernungen stattfinden und dass der Verlust grösser ist, je länger die Entfernung des Zahnes her ist, wurde die zeitnahe Implantation überlegt. So kann das Hart- und Weichgewebe durch das neue gesetzte Implantat gestützt und muss nicht zu einem späteren Zeitpunkt ersetzt werden. Für eine Sofortimplantation müssen aber wichtige Kriterien erfüllt sein. Hierzu zählen entzündungsfreier Zahnverlust, gute und dicke Zahnfleischform und keine entzündlichen Veränderungen des Zahnhalteapparates. Wenn diese wichtigen Parameter erfüllt sind, dann ist eine Sofortimplantation möglich. Leider sind die Voraussetzungen nur in sehr wenigen Fällen so, da selten gesunde, entzündungsfreie Zähne entfernt werden. In der Bildergalerie wurde ein tief kariöser Zahn ideal entfernt, ein Implantat als Sofortimplantat eingesetzt und mit einer provisorischen Kunststoffkrone versorgt. Nach Abheilung erfolgte die definitive prothetische Versorgung mit einer Vollkeramikkrone (Abb. 7.16, 7.17).

Abb. 7.16: Sofortimplantat eines oberen mittleren Schneidezahnes, mit eingebautem Implantataufbau.
Abb. 7.17: Zementierte definitive Krone nach Einwachsen des Implantates (3 Monate später).

8 Die prothetische Versorgung

Abb. 8.1: Freigelegte Implantate in einer Schaltlücke mit Einheilkappen versorgt.

Wenn der Zahnarzt seinen Patienten zur Implantation an einen Spezialisten überwiesen hat, kann er die weitere Behandlung durchaus selbst durchführen.

Nach der Einheilung müssen die Implantate, die unter der Schleimhaut liegen, eröffnet werden. Dies ist aber meistens nur eine sehr kleine Maßnahme, die wieder in örtlicher Betäubung durchgeführt wird (Abb. 8.1).

Bei oberen Frontzähnen wird mit bestimmten Freilegungstechniken das Zahnfleisch zur Lippe häufig noch etwas korrigiert. Die Freilegung bietet sich für die Maßnahme an, da zwangsläufig Zahnfleisch und Bindegewebe bei der Eröffnung anfallen (Abb. 8.2 bis 8.4). In die Implantate werden Einheilkappen oder Gingivaformer eingesetzt, damit es in der Abheilungsphase nicht zu einem erneuten Zuwachsen der Schleimhaut kommt.

Abb. 8.2: Freilegung und Verbesserung des Zahnfleischrandes mit einem Rolllappen.
Abb. 8.3: Eingeschraubter Gingivaformer verhindert das Zuwachsen der Wunde.
Abb. 8.4: Perfekte Weichgewebsverhältnisse.

Nach ca. 14 Tagen können die Abdrücke von den Implantaten für die Versorgung gemacht werden. Hierfür werden in die Innengewinde der Implantate Abformpfosten eingedreht, mit denen die Implantate exakt auf das Meistermodell des Zahntechnikers übertragen werden können (Abb. 8.5). Anschließend erfolgt die Abformung des gesamten Kiefers (Abb. 8.6). Nach Entnahme des Abdrucklöffels wird noch in der Praxis ein Laborimplantat in die Abformung eingesetzt und der perfekte Sitz überprüft (Abb. 8.7).

Abb. 8.5: Eingeschraubte Abformpfosten in einem zahnlosen Unterkiefer.
Abb. 8.6: Abformung eines zahnlosen Oberkiefers mit 8 Implantaten.
Abb. 8.7: Eingeschraubte Laborimplantate werden auf Passgenauigkeit überprüft.

Die Arbeiten, die der Zahntechniker anfertigt, sind sehr unterschiedlich und zum Teil äußerst kompliziert. Sie richten sich danach, in welchen Bereichen die Implantate eingesetzt wurden und welche Aufgaben sie übernehmen sollen. Häufig erfolgen von der Abformung der Implantate noch einige Sitzungen, die Gerüstanproben, Kieferrelationsbestimmungen, Kosmetikanproben etc. umfassen, ehe der neue Zahnersatz endgültig eingesetzt und auf Funktion getestet werden kann.

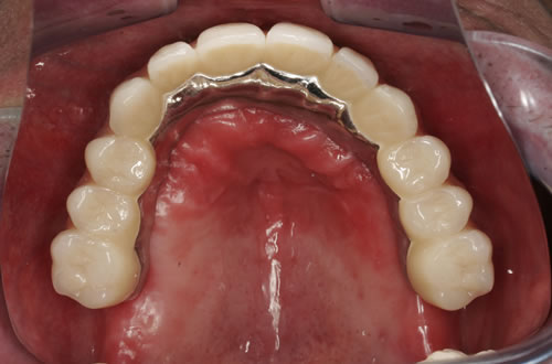
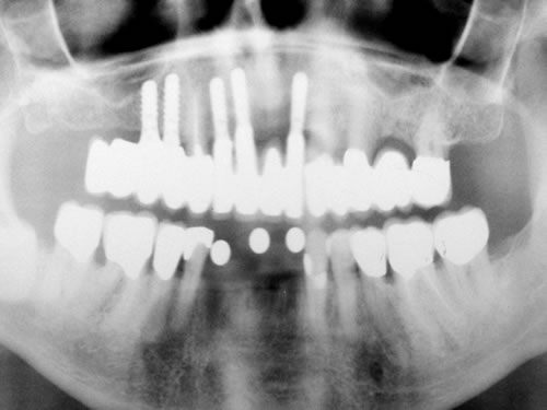
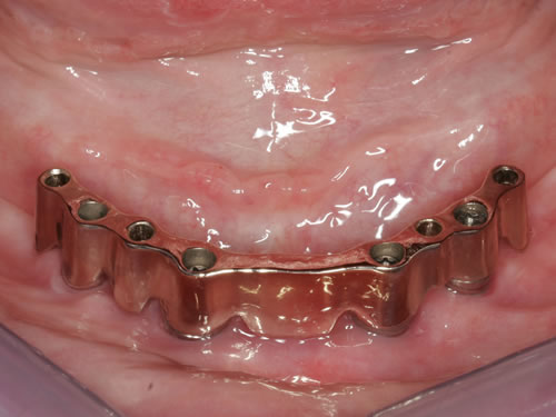
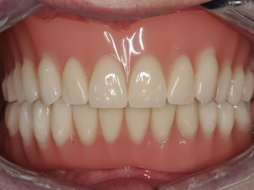
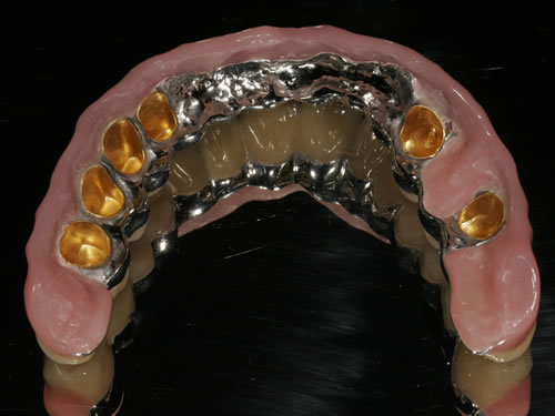
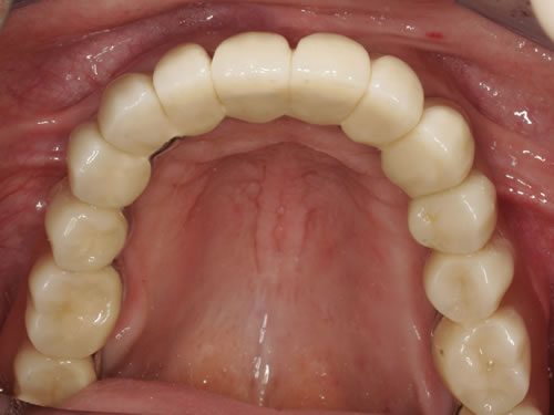
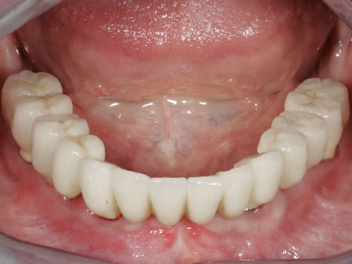
Für den zahnlosen Ober- und Unterkiefer werden dies häufiger Stegkonstruktionen oder Teleskopversorgungen sein (Abb. 8.8 bis 8.16).

Abb. 8.8: Individueller Steg auf 4 Implantaten im zahnlosen Unterkiefer.
Abb. 8.9: Eingesetzter prothesenartiger Zahnersatz.
Abb. 8.10: Individueller Stahlsteg auf 4 Implantaten im zahnlosen Oberkiefer.
Abb. 8.11: Eingegliederter graziler, herausnehmbarer, gaumenfreien Zahnersatz.
Abb. 8.12: Zahnloser Oberkiefer mit 8 Implantaten und eingesetzter Unterkonstruktionen.
Abb. 8.13: Abnehmbare, grazile Brücke.
Abb. 8.14: Zahnloser Oberkiefer mit vier Teleskopen.
Abb. 8.15: Ansicht des Zahnersatzes von unten.
Abb. 8.16: Eingegliederter gaumenfreier Zahnersatz.

Auch eine festsitzende zementierte oder verschraubte Brücke ist möglich (Abb. 8.17 bis 8.19). Hierbei muss eine günstige Lachlinie vorliegen und der Kieferschwund sollte noch nicht zu weit fortgeschritten sein. Die Zähne würden sonst sehr lang wirken, da die Zahnpositionen in die ehemalige Position der Zähne zurückgebracht werden muss. Langes Prothesentragen und entsprechender Knochenverlust erschweren besonders im Oberkiefer festsitzenden Zahnersatz. Sehr exakte Voruntersuchungen und präzise Implantatpositionen mit entsprechenden Knochenaufbaumaßnahmen sind häufig notwendig, um den Patienten diesen Wunsch zu erfüllen.

Abb. 8.17: Verschraubte Brücke auf Implantaten im zahnlosen Oberkiefer (Modellansicht).
Abb. 8.18: Verschraubte Brücke auf Implantaten im zahnlosen Oberkiefer (Frontalansicht).
Abb. 8.19: Zufriedene Patientin nach Eingliederung des neuen Zahnersatzes (Lachlinie).

Auch andere Versorgungsformen sind möglich. So haben sich in bestimmten Fällen Druckknopftechniken wie  Locatoren (Abb. 8.20, 8.21), Kugelknöpfe oder Magnete bewährt. Dabei werden die Implantate mit unterschiedlichen Aufbauten versorgt, wobei jeweils das Sekundärteil in den herausnehmbaren, prothesenähnlichen Teil des Zahnersatzes eingearbeitet wird.

Abb. 8.20: Vier schraubenförmige Implantate im zahnlosen Oberkiefer mit Locatoren versorgt.
Abb. 8.21: Zahnersatz mit den in die Prothese eingearbeiteten Sekundärteilen.

Bei der verkürzten Zahnreihe oder bei größeren Zahnlücken kann eine Versorgung durch so genannte Verbundbrücken erfolgen (Abb. 8.22, 8.23). Dabei werden die künstlichen Pfeiler mit natürlichen Zähnen verbunden. Eine andere Lösung besteht in rein implantatgetragenen Konstruktionen, denen der Zahnarzt den Vorzug geben wird, wenn die noch vorhandenen Zähne gesund sind und deshalb geschont werden sollten (Abb. 8.24. 8.25).

Abb. 8.22: Hybridbrücke auf 4 Implantaten und einem endständigen Zahn.
Abb. 8.23: Zementierte Brücke (Ansicht im Mund).
Abb. 8.24: Rein implantatgetragener Zahnersatz in einer Oberkieferschaltlücke.
Abb. 8.25: Zementierte Brücke (Aufsicht).

In den meisten Fällen werden die Kronen oder Brückenteile in den Implantaten zementiert oder verschraubt. Der verschraubte Zahnersatz hat den Vorteil, dass er nach dem Herausdrehen der Schrauben abgenommen werden kann. So lassen sich die Implantate gut  kontrollieren und anfallende Reparaturen können leicht durchgeführt werden. Verschraubungen können auf der Kaufläche oder an die Innenseite gelegt werden. Schön ist eine nicht sichtbare Verschraubung. So werden die Schraubenkanäle auf der Kaufläche meistens mit zahnfarbendem Kunststoff geschlossen. In älteren Systemen sind Stoßdämpfer eingebaut, die die Aufgabe haben, den Kaudruck zu dämpfen. Diese Verschleißteile müssen regelmäßig ausgetauscht werden. Bei verschraubten Versorgungen kann dieses Auswechseln einfacher geschehen als bei zementierten.

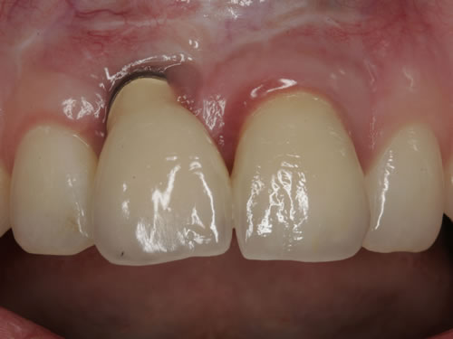
Für Einzelzahnlücken werden entsprechende Einzelkronen hergestellt. Sie werden, wie bei natürlichen Zähnen auch, mit Zement auf den Implantaten befestigt oder vom Munde her verschraubt (Abb. 8.26, 8.27).

Abb. 8.26: Kronenpfosten vor Eingliederung der Implantatkrone.
Abb. 8.27: Perfektes Ergebnis einer Einzelkrone eines oberen seitlichen Schneidezahnes.

Nach 3 Monaten kommt Frau W. zur prothetischen Versorgung. Es wurde wieder ein Kostenplan erstellt. Die erste Behandlung besteht in der Eröffnung der Schleimhaut über den künstlichen Zahnwurzeln. Dies wird in örtlicher Betäubung vorgenommen, anschließend ein Abdruck gemacht und in jedes Implantat ein kleiner Pfosten eingeschraubt, der verhindern soll, dass sich die Schleimhaut wieder schließt. Der Zahnarzt hat die Prothese ausgeschliffen, sodass sie jetzt wieder eingesetzt werden kann. Frau W. spürt, dass sie jetzt schon einen besseren Halt hat. Bereits nach 3 Tagen ist die nächste Anprobe. Der fertige Steg wird eingesetzt. Nun werden nur noch die Halteklammern in die Prothese eingearbeitet. Dazu muss die Prothese einen Tag in das zahntechnische Labor. Am Abend ist es dann soweit. Die Prothese wird eingesetzt. Bereits beim ersten Versuch, sie herauszunehmen, bemerkt Frau W. den guten Halt. Eine Zahnarzthelferin zeigt ihr, wie der Steg und die Prothese gepflegt werden müssen. Die erste Kontrolle soll bereits nach 14 Tagen durchgeführt werden, um zu gewährleisten, dass alles richtig gemacht wird. In den ersten Tagen muss Frau W. noch etwas vorsichtig beim Essen sein, damit sich die künstlichen Zahnwurzeln an die neue Belastung anpassen können.

9 Implantatpflege

Es wurde schon darauf hingewiesen, dass für den Langzeiterfolg die Mundhygiene einen wesentlichen Beitrag leisten muss. Mindestens zweimal täglich sollten die Zähne und besonders die künstlichen Pfeiler gründlich gereinigt werden. Dabei ist der Bereich wichtig, in dem das Implantat durch die Schleimhaut tritt. Geringste Ablagerungen von Belägen (Plaque) oder Zahnstein (Abb. 9.1, 9.2) können bereits Entzündungen zur Folge haben und das Implantat gefährden. Jede Entzündung hat eine Taschenbildung der Schleimhaut zur Folge. Damit wird der dichte Abschluss um die Pfeiler aufgelöst. Bakterien und Speisereste können aus der Mundhöhle in die Tiefe gelangen und eine ernste Knochenentzündung hervorrufen. Dies führt zu einem Knochenabbau und schließlich zum Verlust der Implantate.

Abb. 9.1: Massiver Zahnstein und Beläge an der Stegkonstruktion.
Abb. 9.2: Nach der Wartung wieder ein perfekt gereinigter Steg.

Für die intensive Pflege stehen verschiedene Hilfsmittel zur Verfügung (Abb. 9.3 bis 9.6).

Abb. 9.3: Hygienemittel.
Abb. 9.4: Prothesenpolisher, Prothesenreinigungsbürste.
Abb. 9.5: Reinigung eines Steges im zahnlosen Unterkiefer mit der Zahnbürste.
Abb. 9.6: Sortiment an Zahnzwischenraumbürsten unterschiedlicher Bürstenstärke.

Zunächst werden Zähne und Implantate mit einer Zahnbürste und Zahnpasta von außen und innen gereinigt (Abb. 9.5). Auch der Einsatz elektrischer Zahnbürsten kann hier sinnvoll sein.

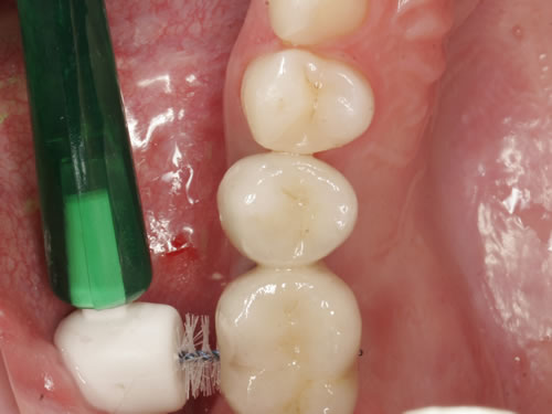
Zusätzlich müssen aber die Pfeiler zwischen den Zahnkronen oder den Stegelementen gesäubert werden. Dazu sind kleine Bürstchen geeignet, die von außen und innen zwischen den Zähnen und Implantaten hindurchgeführt werden (Abb. 9.6 bis 9.9).

Abb. 9.7: Reinigung mit einem Zahnzwischenraumbürsten.
Abb. 9.8: Reinigung mit verschiedenen Zahnzwischenraumbürsten.
Abb. 9.9: Zahnzwischenraumbürsten mit langem Handgriff für die hinteren Zähne.

Diese Bürsten werden als Zahnzwischenraumbürsten oder Interdentalbürsten bezeichnet; sie sind Einmalartikel oder mit austauschbaren Ansätzen erhältlich. Sie können natürlich nur dann eingesetzt werden, wenn die Kronen und Brücken so gearbeitet wurden, dass ein genügend großer Zwischenraum vorhanden ist.

Etwas schwieriger zu handhaben sind Zahnseide oder Superflossfäden, die in die Zwischenräume eingefädelt werden und durch Hin- und Herbewegen die Pfeiler in den kritischen Bereichen sehr gut reinigen (Abb. 9.10, 9.11).

Abb. 9.10: Zahnseide, Superfloss und Spezialfloss.
Abb. 9.11: Stegreinigung mit Superfloss.

Als weiteres Hilfsmittel sind Mundduschen empfehlenswert, bei denen mit einem pulsierenden Wasserstrahl die Zwischenräume durchspült werden. Sie sollten nach der mechanischen Reinigung verwendet werden, um abgelöste Belagreste zu entfernen.

Auch auf chemischem Wege lassen sich Beläge lösen. Dazu werden spezielle Mundspüllösungen angeboten.

Schließlich kann der Erfolg der Pflegemaßnahmen durch Färbelösungen oder -tabletten überprüft werden (Plaquefärber). Unzureichend gereinigte Bezirke werden durch das Anfärben sichtbar gemacht. Sie müssen anschließend noch einmal gezielt geputzt werden.

Wenn diese Maßnahmen täglich konsequent und sehr gewissenhaft durchgeführt werden, kann mit einem langfristigen Erfolg gerechnet werden. Sie erfordern allerdings viel Selbstdisziplin, die aber im eigenen Interesse aufgebracht werden muss.

Sinnvoll ist eine halbjährliche professionelle Zahnreinigung durch eine zahnmedizinische Prophylaxeassistentin oder Dentalhygienikerin (ZMP oder DH). Individuell werden je nach gewissenhafter Pflege eng- oder weitmaschigere Kontrollen und Reinigungen empfohlen.

Frau W. ist ganz begeistert von dem sicheren Halt der Prothese. Sie hat sich fest vorgenommen, durch eine sehr gute Pflege dafür zu sorgen, dass die künstlichen Pfeiler lange halten. Morgens und abends reinigt sie den Steg mit der Zahnbürste, den Zahnzwischenraumbürsten und dem Superflossfaden. Diesen führt sie mit einem versteiften Ende unter den Steg und fädelt dann um die Pfeiler. Abends spült sie dann noch mit der Munddusche. Die Prothese reinigt sie mit einer Handbürste und im Bereich der Halteklammern mit einer Zahnbürste. Für ihr Badezimmer hat sie sich ein Schild gemalt: „Implantate brauchen viel Pflege!“ So wird sie jeden Tag an die notwendige Mundhygiene erinnert.

Der sichere Halt der Unterkieferprothese hat Frau W. veranlasst, auch die Implantationen im Oberkiefer durchführen zu lassen. Die Einheilzeit beträgt hier allerdings sechs Monate, da der Knochen weicher (spongiöser) ist als im Unterkiefer. Es wurden sechs Implantate eingesetzt und nach der Einheilzeit durch einen Steg versorgt. Der Zahnersatz hat jetzt die Form einer Brücke, muss aber täglich zur Pflege der Unterkonstruktion herausgenommen werden (abnehmbare Brücke). Frau W. ist besonders glücklich darüber, dass der Gaumen nicht mehr bedeckt ist und dass sie den Zahnersatz auch bei einer eventuell notwendigen Narkose im Mund  lassen darf.

Langzeiterfolg

Eine gute Implantatpflege ist der wichtigste Beitrag für einen Langzeiterfolg!!

10 Kontrolluntersuchungen

Auch bei intensiver Mundhygiene werden regelmäßige Kontrollen beim Zahnarzt notwendig, da sich krankhafte Veränderungen nur durch spezielle Untersuchungen erkennen lassen. Erkrankungen um die künstlichen Pfeiler werden nur selten vom Patienten selbst bemerkt. Sie sind in ihrem Frühstadium meist mit keinerlei Schmerzen verbunden. Daher sollten Kontrollen mindestens halbjährlich erfolgen, um Komplikationen möglichst frühzeitig erkennen und behandeln zu können.

In Praxen, die über eine EDV-Anlage verfügen, können Patienten relativ einfach mit einem automatischen Anschreiben an die notwendige Nachuntersuchung erinnert werden. Man sollte diesem Verfahren in jedem Fall seine Zustimmung erteilen. Eine langjährige Erfahrung zeigt, dass die Zeiträume seit dem letzten Zahnarztbesuch von den meisten Patienten falsch eingeschätzt werden und Terminüberschreitungen die Regel sind, wenn eine Erinnerung nicht erfolgt.

Untersucht werden zunächst der Pflegezustand und die Schleimhaut um die Implantatpfeiler.

Verschraubte Arbeiten werden auf ihren richtigen Sitz überprüft und in bestimmten Zeitabständen eventuell abgenommen und gereinigt. Der Zahnarzt und die Prophylaxeassistentin werden den Patienten bei dieser Gelegenheit auch auf unzureichend gereinigte Bezirke hinweisen und ihm die entsprechende Putztechnik erneut zeigen. Erst nach der Entfernung der abnehmbaren Teile lässt sich die Festigkeit der eingepflanzten Pfeiler überprüfen. Sie sind bei günstigem Verlauf absolut stabil, im Gegensatz zu den natürlichen Zähnen, die praktisch immer eine gewisse Beweglichkeit aufweisen.

Verschleißteile (z.B. die angesprochenen Stoßdämpfer) werden ausgewechselt und die abnehmbaren Teile erneut eingesetzt und verschraubt. Danach wird kontrolliert, ob der Zusammenbiss noch stimmt. Bei falscher Belastung können Nachteile für die Implantate entstehen, die sich – wie bei der Entzündung – durch Knochenabbau bemerkbar machen können. In Extremfällen sind sogar Brüche von Implantaten oder Aufbauteilen aufgetreten. Durch Einschleifen müssen Überbelastungen verhindert werden. Sichtbar gemacht werden sie durch sehr dünne Farbfolien, die zwischen die Zahnreihen gebracht werden.

Über die Knochensituation geben Röntgenaufnahmen Auskunft, die in größeren Zeitabständen angefertigt werden sollten.

Die Untersuchungs- und Röntgendaten können – ebenso wie die Art der eingesetzten Implantate – in einen Implantatpass eingetragen werden. Dies empfiehlt sich vor allem, wenn durch Umzug oder länger andauernde Auslandaufenthalte ein anderer Zahnarzt aufgesucht wird. Er kann aus diesem Pass ersehen, welche Maßnahmen notwendig sind.

Die letzte Einpflanzung bei Frau W. liegt jetzt über ein Jahr zurück. Ihr Zahnarzt ist mit dem bisherigen Verlauf sehr zufrieden. Er hat die Stege abgeschraubt und gereinigt. An der Zungenseite des Unterkiefersteges hat er noch eine Stelle gefunden, die nicht so gut geputzt war. Frau W. wird noch einmal gezeigt, wie sie auch hier reinigen kann. Unsere Patientin ist mit dem Halt der Prothese hoch zufrieden. Sie kann praktisch alles essen. Der Sitz der Prothese ist seit einem Jahr unverändert. Druckstellen, die früher sehr häufig aufgetreten sind, hat sie überhaupt nicht gehabt. Sie trägt die Zähne Tag und Nacht. „Eine solche Einpflanzung würde ich mir immer wieder machen lassen“ sagt sie ihrem Zahnarzt.

Kontrolluntersuchungen

Kontrolluntersuchungen in halbjährlichen Abständen sind zur Sicherung des Erfolges unbedingt notwendig!!

11 Kosten

Seit 1988 gibt es Positionen in einer zahnärztlichen Gebührenordnung, die das Honorar für eine Implantation regeln. Die Abrechnung erfolgt im Rahmen einer Privatrechnung, da Einpflanzungen künstlicher Zahnwurzeln nur in extremen Ausnahmesituationen in dem Leistungskatalog der gesetzlichen Krankenkassen enthalten sind. Berechnet werden die zahnärztlichen Leistungen für die Einpflanzung und die Materialkosten für die Implantate und Zubehörteile, die unterschiedlich hoch sein können. Da sich die Situation bei jedem Patienten anders darstellt, ist die Angabe konkreter Kosten schwierig. Man sollte sich daher vor einer derartigen Behandlung einen Kostenvoranschlag anfertigen lassen.

Neben den Kosten für die eigentliche Einpflanzung entstehen weitere Kosten nach der Einheilungszeit im Rahmen der prothetischen Versorgung. Seit 2005 erhalten die gesetzlich versicherten Patienten einen sogenannten Festkostenzuschuss. Dieser Festkostenzuschuss ist entsprechend dem Restzahnbestand und der konventionellen nicht implantat-prothetischen Versorgung angepasst.

Die privat versicherten Patienten erhalten entsprechend ihrem abgeschlossenen Tarif eine Bezuschussung der Implantatversorgung. Die Zeiten, in denen die privaten Krankenkassen sämtliche entstehenden Kosten übernehmen, sind vorbei. Daher empfiehlt es sich vor Behandlungsbeginn, einen Gesamtkostenplan erstellen zu lassen und diesen bei der Krankenversicherung genehmigen zu lassen. Aus der Differenz zwischen Kostenplan und Bezuschussung der Krankenkasse ergibt sich der Eigenanteil.

Die Beihilfestellen übernehmen die anfallenden Kosten ebenfalls nur in Ausnahmeindikationen. Hier erhalten die Versicherten auch einen Festbetrag, der jedoch auf Landes – und  Bundesebene variieren kann.

Implantologische Versorgungen müssen nicht immer kostspieliger sein als herkömmlicher Zahnersatz. Wenn zum Beispiel an eine Einzelzahnlücke gedacht wird, so kann die Versorgung durch ein Implantat, das mit einer Einzelkrone versehen wird, kostengünstiger sein als die Versorgung durch eine Brücke, bei der die Nachbarzähne überkront werden müssen.

Auch das Beispiel der zahnlosen Patientin, bei der im Verlaufe mehrerer Jahre zahlreiche Prothesen angefertigt und Unterfütterungen durchgeführt wurden, zeigt, dass eine implantologische Behandlung nicht unbedingt teurer sein muss. Durch das Einpflanzen einiger weniger Pfeiler wurden schließlich die Prothesen so stabilisiert, dass keine Neuanfertigungen mehr nötig werden.

Erhebliche Kosten können allerdings bei sehr anspruchsvollen Patienten entstehen, die z.B. bei vollständiger Zahnlosigkeit einen festsitzenden Brückenersatz auf entsprechend vielen Implantaten wünschen.

12 Risiken, Komplikationen und deren Therapien

Das Risiko einer Einpflanzung ist sehr gering, wenn eine gründliche Voruntersuchung und eine sorgfältige Planung durchgeführt wurden. Von besonderer Bedeutung ist dies in bestimmten Kieferregionen, in denen die Gefahr besteht, dass wichtige Strukturen verletzt werden.

Im Unterkiefer verläuft im Seitenzahnbereich in einem Knochenkanal ein Nerv zusammen mit Blutgefäßen. Er sorgt für das Gefühl in dieser Kieferregion und in der Hälfte der Unterlippe. Bei schmerzhaften zahnärztlichen Behandlungen wird er durch eine Spritze betäubt. Bei einer Verletzung dieses Nervs durch eine Einpflanzung würde dieses Taubheitsgefühl länger oder sogar dauernd bestehen. Daher darf nur der Knochen über dem Nerv für die Einpflanzung genutzt werden, es sei denn der Nerv wird aus seinem Kanal heraus präpariert und verlegt. Auf das genaue Vermessen wurde in dem Abschnitt „Voruntersuchung“ eingegangen. Wenn bei stärkerem Knochenabbau hier nicht genug Knochengewebe vorhanden ist, sind umfangreiche Maßnahmen notwendig.

Im vorderen Kieferabschnitt des Unterkiefers verlaufen keine wichtigen Strukturen, sodass hier in der Regel ohne Risiko implantiert werden kann, wenn die Kieferhöhe und –breite ausreichend ausgedehnt sind.

Auf die besonderen Schwierigkeiten des Oberkiefers wurde bereits mehrfach hingewiesen. Hier setzen die Ausdehnung der Kieferhöhlen und die Nachbarschaft zur Nasenhöhle einer Implantation natürliche Grenzen. Eine künstliche Zahnwurzel sollte nicht in diese Höhlen hineinragen, da dort keine Stabilität erzielt werden kann und das Risiko einer Nebenhöhlenentzündung besteht. Mit Hilfe neu entwickelter Operationsverfahren (Sinuslift, Sinusbodenelevation, Knochenaugmentation, PRP-Verfahren) lassen sich auch in dieser schwierigen Region gute Resultate erzielen.

Auch die Knochenstruktur ist im Oberkiefer weniger gut geeignet, da sie sehr porös ist und festere Bestandteile nur als dünne Außenschicht vorhanden sind. Daher werden in der Regel umfangreichere Voruntersuchungen notwendig (Computertomogramm). Als eine Möglichkeit den Knochen zu verbessern kann mit speziellen Instrumenten ein sehr weicher Knochen verdichtet werden (Knochenkondensationsverfahren). Die Einheilphase sollte im Gegensatz zum Unterkiefer verlängert sein.

Nach einer sorgfältigen Voruntersuchung wird der Zahnarzt die möglichen Risiken individuell abschätzen und den Patienten darüber aufklären. Die Entscheidung, ob eine Implantation gefahrlos durchgeführt werden kann, muss in jedem Einzelfall getroffen werden.

In der Einheilungsphase treten nur selten Komplikationen auf. Wundschwellungen, geringe Wundschmerzen und manchmal auch Verfärbungen durch Hämatome sind je nach Umfang des Eingriffs ähnlich einer Wurzelspitzenresektion oder einer Zahnentfernung bei einer Implantation möglich. Kühlpacks, Schmerzmittel und Antibiotika werden entsprechend vom Behandler rezeptiert.

In manchen Fällen wachsen die Implantate nicht an. Die Ursachen hierfür sind noch nicht vollständig bekannt. Dies kommt bei  Rauchern häufiger vor als bei Nichtrauchern. Einige Patienten mit Stoffwechselerkrankungen (z. B. Zuckerkrankheit) haben ebenfalls eine höhere Verlustquote in der Einheilphase. Manchmal sind Verluste aber auch auf ein falsches Verhalten des Patienten zurückzuführen, der sich nicht an die Empfehlungen oder Anweisungen des Zahnarztes gehalten hat. Komplikationen nach der prothetischen Versorgung sind meistens auf eine unzureichende Mundhygiene und auf Vernachlässigung der Kontrolltermine zurückzuführen.

In seltenen Fällen können auch Allgemeinerkrankungen, die erst nach der Implantation aufgetreten sind, zu Problemen an den Implantaten führen. So mussten bei einem Patienten die Pfeiler entfernt werden, weil im Zusammenhang mit einer schweren Zuckerkrankheit Entzündungen aufgetreten waren.

Nach einem Implantatverlust entstehen für den Patienten keine Nachteile, wenn die heute gebräuchlichen sehr grazilen Implantate verwendet wurden. Hier entsteht nur ein kleiner Knochendefekt, der ähnlich wie nach einer Zahnentfernung ausheilt. In vielen Fällen kann in dieser Region eine weitere Einpflanzung durchgeführt werden. Es empfiehlt sich aber, die Ausheilung der Knochenwunde abzuwarten. Das dauert – je nach Umfang des Defektes – zwischen 3 und 12 Monaten.

Entsprechend der Zahnbetterkrankung (Parodontitis) gibt es bei den Implantaten die Periimplantitis. Diese Erkrankung kann in der Funktionsphase auch nach Jahren zu Implantatverlusten führen. Die Periimplantitis hat ihre Ursache in speziellen Keimen, die sich auf dem Boden von Belägen vermehren können. Eine Periimplantitis kann durch gute Mundhygiene und regelmässige professionelle Zahnreinigungen verhindert werden. Sollte eine Periimplantitis manifest bestehen, wird zunächst versucht, durch Reinigung, Desinfektion und Einsatz spezieller Medikamente die akute Phase zu beherrschen, bevor man ein langfristiges Konzept entwickelt. Wenn der Knochen stark befallen ist, kann eine Entfernung des Implantates notwendig werden, damit der Knochen nicht weiter abgebaut wird. So erhält man sich die Möglichkeit einer erneuten Implantation. Auf dem Gebiet der Periimplantitis wird viel experimentiert. Sauerstofftherapien, Ozon- und Laserbehandlungen zeigen jedoch noch nicht den gewünschten Erfolg.

Ein wichtiger Punkt ist die Zufriedenheit der Patienten. Während in den Anfängen der Implantologie das Einheilen des Implantates als Erfolg gewertet wurde, ist heute der Erfolg dann erreicht, wenn die Patienten zufrieden sind. Wir unterscheiden heute die funktionelle von der ästhetischen Implantologie. Bei der funktionellen Implantologie werden Implantate gesetzt, auf denen ein Zahnersatz befestigt wird, damit die Patienten wieder kauen können, ohne dass der Zahnersatz im Mund „schwimmt“. Der Patient möchte mit seinen „Kauwerkzeugen“ richtig gut essen können.

Bei der ästhetischen Implantologie werden Zähne im sichtbaren Bereich ersetzt. Häufig handelt es sich um einzelne oder mehrere Frontzähne im Oberkiefer.. Hierbei sollte das Ergebnis dem natürlichen Zahn in Form, Farbe und Zahnfleischverlauf so ähnlich wie möglich sein. Im Idealfall kann ein Laie und manchmal auch ein Profi das Zahnimplantat von einem natürlichen Zahn nicht unterscheiden, Um dieses Ergebnis zu erzielen, sind in einigen Fällen viele Eingriffe notwendig, die Knochenaufbaumaßnahmen, die Implantation, Freilegungstechniken und Zahnfleischkorrekturen mit Bindegewebe umfassen können. Auch nach der Eingliederung der Krone hat man noch Möglichkeiten die  Ästhetik zu perfektionieren, wenn z. B. der Zahnfleischverlauf noch nicht dem des Nachbarzahnes entspricht. Neben den zahnärztlichen Leistungen müssen auch die zahntechnischen Leistungen erwähnt werden. Nur ein gutes Labor ist in der Lage eine perfekte Krone mit den individuellen Besonderheiten anzufertigen. Die heutigen, neuen Materialien wie Vollkeramik und Zirkonoxyd spielen hierbei eine wichtige Rolle.

Frau W. war mit ihrer Familie in den Weihnachtsferien in Tschechien, um Freunde zu besuchen. Sie bemerkte am zweiten Weihnachtstag, dass sich der Steg im Unterkiefer gelockert hatte und die Prothese nicht mehr so gut hielt. Sie war sehr beunruhigt und stellte selbst fest, dass sich zwei kleine Schrauben gelöst hatten. Sie suchte einen befreundeten Zahnarzt auf. Dieser versuchte, die Schrauben wieder festzuziehen. Da ihm die geeigneten Instrumente fehlten, gelang ihm dies aber nicht richtig. Nach ihrer Rückkehr konnte ihr Zahnarzt die Sache schnell in Ordnung bringen. Der Vorfall zeigt aber, dass bei Auslandsreisen Schwierigkeiten auftreten können, wenn sich die Zahnärzte dort mit den neuen Verfahren nicht auskennen. Es empfiehlt sich daher, vor einer solchen Reise den Hauszahnarzt aufzusuchen und noch einmal alles nachsehen zu lassen.

Empfehlung

Vor Urlaubsreisen ins Ausland und bei längeren Auslandsaufenthalten ist eine Untersuchung der Implantate sehr zu empfehlen!!

13 Ergebnisse

Erstaunlich gute Resultate werden heute mit den künstlichen Zahnwurzeln erzielt. Noch nach vielen Jahren sind über 90% der eingesetzten Implantate im Munde der Patienten funktionstüchtig. Dennoch wird man nicht erwarten dürfen, dass sie bessere Dienste leisten als die natürlichen Zähne. Die bisherigen Auswertungen und Erfahrungen geben aber zu der Hoffnung Anlass, dass künstliche Pfeiler den Zähnen nahezu ebenbürtig sind und bei guter Pflege und regelmäßiger Kontrolle sogar Jahrzehnte im Munde verbleiben können.

Dies sollte allerdings nicht dazu verleiten, die Pflege und die zahnärztliche Versorgung der eigenen Zähne zu vernachlässigen. Ein gesunder eigener Zahn ist einem Implantat in jedem Fall vorzuziehen.

Untersuchungen an sehr vielen Patienten haben gezeigt, dass die Ergebnisse in den einzelnen Kieferabschnitten etwas unterschiedlich sind und dass sie bei Frauen günstiger sind als bei Männern. Dies wird auf die häufig bessere Mundhygiene und vielleicht auf die größere Eitelkeit weiblicher Patienten zurückgeführt. Interessant ist auch, dass in höheren Lebensaltern weniger Komplikationen auftreten als bei jüngeren Menschen. Auch die Form und die Dicke des Knochens und des Zahnfleisches beeinflussen das Ergebnis.

Die Auswertungen zeigen weiterhin, dass Implantate, die sofort nach einer Zahnentfernung oder nach einem Zahnverlust eingepflanzt werden (Sofortimplantate), schlechter abschneiden als diejenigen, die erst nach dem Ausheilen der Knochenwunde implantiert werden (Spätimplantate). Da Zähne häufig dann entfernt werden müssen, wenn Entzündungen des Zahnfleisches oder des Knochens bestehen oder sie durch Unfälle verloren gegangen sind, bei denen auch die Umgebung des Zahnes beschädigt sein kann, wird verständlich, dass Pfeiler in einem solch krankhaft veränderten Gewebe schlechter einwachsen.

Bei der Untersuchung vieler Implantatträger hat sich im Laufe der Jahre sogar herausgestellt, dass der Knochenabbau, der unter herkömmlichen Prothesen auftritt, bei implantatgetragenem Zahnersatz in deutlich geringerem Umfang besteht und in manchen Fällen sogar ein Knochenanbau stattfindet. Die stabile Lage der Prothese und die günstigere Belastung des Kieferknochens wirken sich hier sehr positiv aus.

Als entscheidender Vorteil der künstlichen Zahnwurzeln wird aus der Sicht der Patienten aber der feste Halt und der Verzicht auf jegliche Haftmittel gewertet. Patienten mit fehlenden Backenzähnen oder großen Zahnlücken können sich über Jahre freuen, in denen noch kein herausnehmbarer Zahnersatz getragen werden muss.

Damit verbunden sind eine größere Sicherheit und eine Steigerung der Lebensqualität, die sich im beruflichen und privaten Bereich auswirken kann. So schildert eine jetzt 50-jährige Patientin, dass sie ihre erstaunliche berufliche Karriere eigentlich nur ihren Zähnen zu verdanken hat. Sie war als Angestellte in einer Behörde beschäftigt und immer sehr unzufrieden mit ihrer wenig verantwortungsvollen Tätigkeit. Sie hatte aber nie den Mut aufgebracht, an dieser Situation etwas zu ändern, da sie durch ihre schlechten Zähne sehr gehemmt war. Nach der Einpflanzung künstlicher Zahnwurzeln und einer ästhetisch ansprechenden zahnärztlichen Versorgung konnte sie wieder befreit lachen. Sie änderte ihr Leben vollständig, besuchte noch einmal die Schule, legte die Reifeprüfung ab, schloss ein Studium an und ist heute in leitender Position in der gleichen Behörde tätig.

Auch ein Werksleiter berichtet über einen ähnlichen Werdegang. Nach dem Verlust seiner Zähne hatte er seinen leitenden Posten aufgegeben, weil er nicht mehr in der Lage war, die vielen Verhandlungen mit Angestellten, Lieferanten und Kunden zu führen. Er war durch den schlechten Prothesenhalt so gehemmt, dass er eine viel schlechter bezahlte Bürotätigkeit vorzog. Nach einer Implantation und der Stabilisierung der Prothese übt er wieder seine frühere Tätigkeit mit großer Sicherheit und Selbstverständlichkeit sehr erfolgreich aus. Sein Aufgabengebiet wurde inzwischen sogar erweitert.

Ein Bankkaufmann spricht bei jeder Nachuntersuchung begeistert über seinen festsitzenden Zahnersatz: „Die Einpflanzung war das Beste, war mir in meinem ganzen Leben passiert ist!“

Aus dem privaten Bereich belegen sehr viele Beispiele, dass Menschen ihren Lebensmut wiedergefunden haben, dass sie aus einer – meist selbst gewählten – Isolation den Weg zurück in die Familie und die Gesellschaft gefunden haben. Für den Zahnarzt sind diese glücklichen und dankbaren Patienten die größte Anerkennung seiner anspruchsvollen und verantwortungsvollen Tätigkeit.

Frau W. hat ihren Beruf als Russisch-Lehrerin wieder aufgenommen und unterrichtet 24 Stunden in der Woche mit großer Begeisterung. Sie unternimmt häufig Reisen in die Ostblockländer, um ihre Sprachkenntnisse zu verbessern und Freunde zu besuchen. Sie erzählt, dass sie ein ganz neuer Mensch geworden ist und es genießt, beim Unterricht, im Gespräch oder beim Essen mit anderen nicht beeinträchtigt zu sein und unbeschwert lachen zu können – dank der künstlichen Zahnwurzeln.

14 Aufklärungsblatt

Aufklärungsblatt Implantologie

Sehr geehrte Patientin, sehr geehrter Patient,

bei Ihnen soll eine künstliche Zahnwurzel (Implantat) eingepflanzt werden. Vor dem Eingriff  wird Ihr Hauszahnarzt oder ein Behandler unseres Teams mit Ihnen über Notwendigkeit und Durchführung der geplanten Maßnahme sprechen. Sie müssen naheliegende, typische Risiken und Folgen des Eingriffs kennen, damit Sie Ihre Einwilligung geben können. Dieses Aufklärungsblatt soll helfen, das Gespräch vorzubereiten.

Warum Implantate in Ihrer Situation (medizinische Begründung)?

Um die Kaufunktion zu verbessern oder wiederherzustellen, gibt es verschiedene zahnärztlich-prothetische Möglichkeiten: das Eingliedern herkömmlichen Zahnersatzes (wie z.B. Kronen, Brücken, Prothesen) oder das Einpflanzen künstlicher Zahnwurzeln. Diese Implantate gehen eine feste Verbindung mit dem Kieferknochen ein und ermöglichen deshalb einen festeren Halt des Zahnersatzes als mit herkömmlichen Methoden.

In Ihrem Fall bietet das Einpflanzen einer künstlichen Zahnwurzel folgende Vorteile:

Schonung der eigenen Zahnhartsubstanz
[ ] als Einzelzahnersatz, so dass das Beschleifen der Nachbarzähne vermieden werden kann.

Schutz vor Fehl- oder Überbelastung der eigenen Zähne;

[ ] hintere Pfeiler, wenn auf einer Seite keine Zähne sind (Freiendsituation)
[ ] Unterstützungspfeiler in der Mitte einer Brücke, wenn sonst die Lücke zu groß ist
[ ] zur Pfeilervermehrung für eine totale Brückenversorgung

Erhaltung und Schutz des Kieferknochens;

[ ] als Befestigungsanker einer Teil- oder Vollprothese

Implantate bestehen aus sehr gewebeverträglichen Materialien (zumeist Titan) und können einen weiteren Knochenschwund verhindern, da sie zu einer dem natürlichen Vorbild ähnlicheren Belastung des Kieferknochens führen als bei Schleimhautbelastung durch eine Prothese.

Voraussetzungen

Eine optimale Mundpflege ist unbedingte Voraussetzung für den langen Erhalt des Implantats, daher wird diese bei Ihnen im Vorfeld überprüft und ggf. korrigiert. Bei andauernder unzureichender Mundpflege muss eine Implantation unterbleiben.

Individuell geplanter Zahnersatz

Nach erfolgreicher Einheilungsphase ist voraussichtlich folgender Zahnersatz geplant:

__________________________________________________________________

__________________________________________________________________

 

Schema zum Einzeichnen der Implantatposition / Suprakonstruktion

Vorgehensweise

Es werden in der Planungsphase Modelle, spezielle Unterlagen und Röntgenbilder zum Vermessen des Knochenangebots angefertigt.

Der Eingriff wird in örtlicher Betäubung (Lokalanästhesie), in Sedierung oder bei größerem Umfang in Allgemeinnarkose (Vollnarkose) durchgeführt.

In der Übersicht ist eingezeichnet, wo Ihre Implantate eingesetzt werden sollen.

Mit einem Schnitt in der Schleimhaut wird der Kieferknochen freigelegt, mit dem Bohrer wird ein Implantatfach angelegt, welches der Implantatform entspricht. Danach wird das Implantat eingesetzt und die Schleimhaut wieder vernäht. Die Nähte werden nach etwa einer Woche entfernt.

In manchen Fällen ist es notwendig, Knochen oder andere Hilfsmittel einzubringen, um bessere Voraussetzungen für das Implantat zu schaffen. Dafür ist manchmal ein eigener operativer Eingriff zur Knochengewinnung und -transplantation erforderlich.

Bei Ihnen wird voraussichtlich folgendes Material zusätzlich verwendet.

[ ] Knochen aus dem Kieferbereich (Kinn, Region hinter den Backenzähnen);
[ ] Knochen aus einem anderen Körperbereich (z. B. Beckenkamm);
[ ] Knochenersatzmaterial;
[ ] Membranen (selbstauflösend / nicht selbstauflösend);
[ ] Sonstiges: _________________________________.

Das Material der verwendeten Membran löst sich entweder selbst auf oder es wird durch einen zweiten Eingriff wieder entfernt. Die Fäden müssen nach ca. 1 Woche entfernt werden.

Nach der Einheilzeit, die bei Ihnen im Unterkiefer ca. ___ Monate, im Oberkiefer ca. ___ Monate in Anspruch nimmt, werden die Aufbauteile für den geplanten Zahnersatz am Implantat befestigt. Diesbezüglich ist bei einigen Implantatsystemen eine Freilegung des Implantats durch einen Schleimhautschnitt notwendig. Die Freilegung ist nur ein kleiner Eingriff in örtlicher Betäubung (Lokalanästhesie), manchmal wird die Schleimhaut zusätzlich etwas korrigiert, Ihr Zahnarzt wird Sie dann jedoch darüber informieren.

__________________________________________________________________
Implantation        geplante Freilegung              Herstellen und Einsetzen der prothetischen Konstruktion
Zeit (Behandlungsdauer zwischen den Behandlungsphasen)

 

Verhalten nach der Implantatbehandlung

Das Implantat darf während der Einheilungsphase nicht belastet werden. Wenn Sie das Gefühl haben, dass der provisorische Ersatz auf die Implantatregion drückt, wenden Sie sich bitte sofort an Ihren Hauszahnarzt oder an unsere Praxis.

Bei eventuellen Nachblutungen sollten Sie auf ein sauberes Taschentuch beißen. Wenn nach einer halben Stunde die Blutung nicht zum Stillstand gekommen sein sollte, suchen Sie unsere Praxis, Ihren Hauszahnarzt oder außerhalb der Sprechzeiten den zahnärztlichen Notdienst auf.

Mit anfänglichen Mundspülungen (nicht am ersten Tag) erschöpft sich die Pflege in der Implantatumgebung in den ersten Tagen. Nach Instruktionen durch Ihren Behandler kann die Pflege durch den Einsatz von ”Q-Tips” auf der operierten Seite fortgesetzt werden.

Nach der Nahtentfernung ist dann eine äußerst sorgfältige Mundhygiene entsprechend unseren Anweisungen und Empfehlungen erforderlich.

Regelmäßige Kontrollen sind unbedingt notwendig und beeinflussen das Implantationsergebnis.

Erfolgsaussichten

Der Erfolg einer Implantatbehandlung wird nach abgeschlossener Einheilungsphase von unserem Behandlungsteam oder Ihrem Zahnarzt in der Regel anhand eines Röntgenbildes und klinischer Prüfung beurteilt.

Nach durchgeführter Implantation und eingesetztem Zahnersatz ist der Erfolg der Implantatbehandlung auf längere Sicht maßgeblich von einer exakten Mundpflege und der regelmäßigen Nachkontrolle (Recall) abhängig.

Bei Rauchern ist das Misserfolgsrisiko der Implantatbehandlung langfristig erhöht (Raucherparodontose).

Bei einigen Allgemeinerkrankungen und entsprechender dauerhafter Einnahme bestimmter Medikamente ist das Misserfolgsrisiko ebenfalls erhöht.

Komplikationen der Behandlung

Allgemein:

Manchmal treten Schmerzen und eine leichte Schwellung auf. Bei Blutungen ist selten das erneute Vernähen der Wunde oder eine operative Blutstillung erforderlich.

Obwohl durch genaue Untersuchungen vor der Operation versucht wird, die optimale Lage des Implantates festzulegen, kann es sich in seltenen Fällen während des Eingriffs als unmöglich erweisen, das Implantat einzubringen.

Spezielle Komplikationen:

Trotz exakter Technik kann sich ein Implantat kurz nach dem Eingriff oder später lockern (Abstoßungsreaktion). Nach Entfernung und Ausheilung ist eine erneute Implantation in dem entstehenden Reparaturknochen möglich. Die Ursachen können mangelde Durchblutung, zu harter oder zu wenig Knochen, Fehlbelastungen, die Einnahme bestimmter Medikamente oder einige Allgemeinerkrankungen sein.

Im Bereich des Implantates, der Gesichtsweichteile und der Kieferhöhle kann es zu Entzündung und Wundheilstörungen kommen. Eine Behandlung mit Spülungen, der Einsatz von Antibiotika oder eine Nachoperation können notwendig werden.

Verletzungen an  benachbarten Zähnen sind - trotz sorgfältigster Arbeitsweise - bei größeren Eingriffen und sehr eng stehenden Zähnen möglich; unter Umständen wird dann eine Wurzelkanalbehandlung erforderlich.

Sehr selten wird der Zungennerv, der an der Innenseite des Unterkiefers verläuft, durch die Operation geschädigt. Vorübergehende, nur selten bleibende Geschmacksstörungen sowie ein Taubheitsgefühl der betroffenen Zungenseite können die Folge sein. Eine Verletzung des im Nervkanal verlaufenden Nerven führt auf der betroffenen Seite zu einem meist vorübergehenden, sehr selten andauernden Taubheitsgefühl der unteren Lippenhälfte. Die Lippe läßt sich trotzdem bewegen. Bei den genannten Nervstörungen kann es dazu kommen, dass das Implantat entfernt werden muss.

Im Bereich des Oberkiefers befindet sich eine sehr dünne Knochenwand zur Kieferhöhle, die bei dem Eingriff durchbrochen werden kann. Eine eröffnete Kieferhöhle wird durch spezielle Maßnahmen sofort wieder verschlossen. In der Regel verläuft die Heilung nach Kieferhöhleneröffnung komplikationslos.

Bei allen Komplikationen kann die Entfernung des Implantats erforderlich sein.

Individuelle Komplikationen:

__________________________________________________________________

__________________________________________________________________

__________________________________________________________________

__________________________________________________________________

__________________________________________________________________

__________________________________________________________________

__________________________________________________________________

__________________________________________________________________

Einwilligungserklärung:

Über den geplanten Eingriff sowie eventuell erforderliche Erweiterungen hat mich

Frau / Herr _____________________________________________________ in einem Aufklärungsgespräch ausführlich informiert.

Der Behandlungsumfang umfasst :____________________________________________________________

Ein Vergleich zu anderen zahnärztlich-prothetischen Behandlungsmethoden wurde erörtert und besprochen.

Dabei wurden mir alle meine Fragen erläutert.

Folgende Aspekte wurden zusätzlich mit mir besprochen:

__________________________________________________________________

__________________________________________________________________

[ ] Ich habe keine weiteren Fragen.

__________________________________________________________________
Ort, Datum        Unterschrift des Patienten

 

Bestätigung der Einwilligung direkt vor der Implantatsetzung:

 

__________________________________________________________________
Ort, Datum        Unterschrift des Patienten

© Copyright 2015 Dr. Tetsch & Kollegen
e-Mail: praxis@tetsch-muenster.de
Impressum | Datenschutz